
A deep-learning algorithm called CXR-Age can estimate a patient's biological age on chest x-rays, enabling more accurate long-term mortality risk predictions than chronological age, according to research published March 17 in JACC: Cardiovascular Imaging.
A team of researchers from Massachusetts General Hospital (MGH) and Brigham and Women's Hospital (BWH) used chest x-rays from over 116,000 patients to develop and test the CXR-Age model. In testing on two separate datasets, CXR-Age's biological age estimates led to significantly better long-term cardiovascular and all-cause mortality risk predictions than the patient's chronological age.
In the future, the algorithm could be used to compute biological age on routine chest x-rays, providing patients with a measure that's easier to grasp than risk-score probabilities, according to first author Vineet Raghu, PhD, co-first author Dr. Jakob Weiss, senior author Dr. Michael Lu, and colleagues from the MGH Cardiovascular Imaging Research Center and BWH program for Artificial Intelligence in Medicine.
"[S]ubstituting biological age measures for chronological age could improve the performance of existing risk scores," the authors wrote. "In this way, CXR-Age could help inform decisions about prevention, screening, and treatment."
Although it plays a key role in medical decision-making and in guidelines such as the prevention of atherosclerotic cardiovascular disease, chronological age is an imperfect measure of health and longevity; everybody ages at different rates, according to the researchers.
The researchers initially trained a convolutional neural network (CNN) to estimate chronological age from 24,934 subjects from publicly available datasets. Utilizing a transfer-learning approach, the researchers then used this initial model as the foundation to train a second CNN -- CXR-Age -- to estimate biological age. CXR-Age was trained using 13,657 patients from the Prostate, Lung, Colorectal, and Ovarian (PLCO) cancer screening trial's chest radiograph arm.
After validation, CXR-Age was then tested on the remaining 40,967 cases from the PLCO trial's chest radiograph screening arm and also on an external test set of 5,414 chest radiographs from the National Lung Screening Trial (NLST). CXR-Age's results were compared with chronological age alone -- as well as with a multivariable regression model that assessed chronological age, risk factors, and radiograph findings -- for predicting all-cause mortality over 23 years of follow-up and cardiovascular mortality over 13 years of follow-up.
The biological age estimates were found to be a better predictor of mortality than chronological age.
Chronological age vs. CXR-Age for predicting mortality risk over 23 years | ||
Five-year increase in chronological age | Five-year increase in biological age estimated by CXR-Age | |
Hazard ratio for all-cause mortality | 1.77 | 2.26 |
Hazard ratio for cardiovascular mortality | 1.82 | 2.45 |
Similar results were reported on the NLST test set. What's more, the CXR-Age biological age estimates yielded a statistically significant improvement in performance (p < 0.001) on both test sets when added to the multivariable risk assessment model.
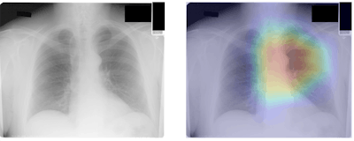
The researchers also noted that the algorithm generates gradient-weighted class-activation maps (Grad-CAM) to localize the anatomic regions that contributed to its age estimate.

These maps show that CXR-Age commonly focuses on the mediastinum, the cardiac silhouette, and the aortic knob -- anatomy that dilates and becomes tortuous with aging.
"Activations were also seen over other anatomy, including the diaphragmatic silhouette, the upper mediastinum, and the low neck," the authors wrote.
Future work
The researchers plan to further investigate CXR-Age, including exploring whether substituting the algorithm's biological age estimates for chronological age can improve existing age-based risk scores and cancer screening recommendations.
"CXR-Age may also provide geroscience researchers a new aging measure; whether this proves complementary to existing blood and functional biological age markers will also require further investigation," they wrote.
CXR-Age will also be available as free open-source software to encourage research and future investigations, according to the researchers.