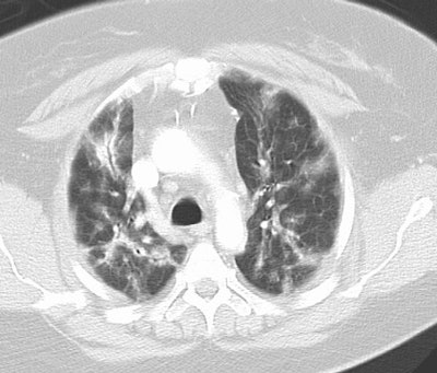
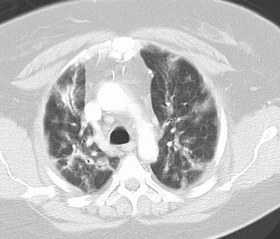
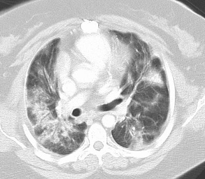
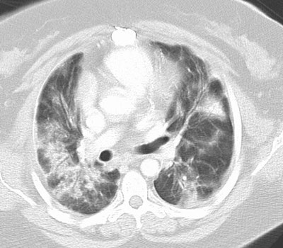
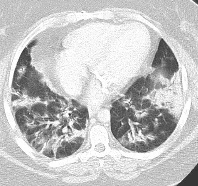
Cryptogenic Organizing Pneumonia (BOOP):
The patient shown below had a long history of inflammatory bowel disease for which she was receiving treatment with sulfasalazine. This agent can result in BOOP.
The CT scan demonstrates subpleural, patchy consolidations with air bronchograms. Patchy areas of ground-glass are also seen. Peribronchial thickening as shown in this case is a common finding.






















