BOOP:
The patient below had received radiation therapy to the left chest for an axillary liposarcoma 6 months previously. The patient presented with complaints of increasing shortness of breath and a dry cough.
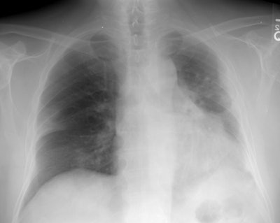
Initial CXR revealed patchy right lung infiltrates. Post radiation fibrosis is noted along the left lateral hemithorax. (Click image to enlarge)

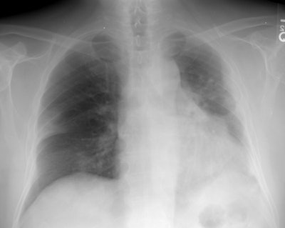
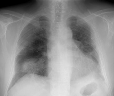
Following antibiotic treatment, the infiltrates and the patients symptoms had worsened (Click image to enlarge)

Chest CT revealed patchy areas of parenchymal consolidation with air bronchograms. Post radiation changes are seen in the left lung. Lung biopsy confirmed the diagnosis of BOOP. BOOP has been described in the contralateral lung following radiation therapy [Respir Medicine 1997; 91: 241-244]. The patient responded to steroid therapy.





















