BOOP presenting with pulmonary nodules

BOOP presenting with pulmonary nodules:

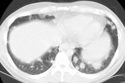
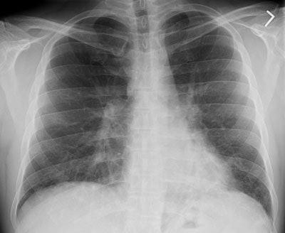
The patient below presented with complaints of cough, malaise, and a low-grade fever. The chest radiograph revealed some patchy left lower lobe airspace disease and vague nodular shadows- particularly in the lower lung zones. A chest CT was performed and demonstrated multiple nodular airspace abnormalities with variable margins. The lesions did not improve despite antibiotic therapy and all cultures were negative. Click images to enlarge.

 

 08290111231194sm Cxr 08290111231274sm Ct Composite

 

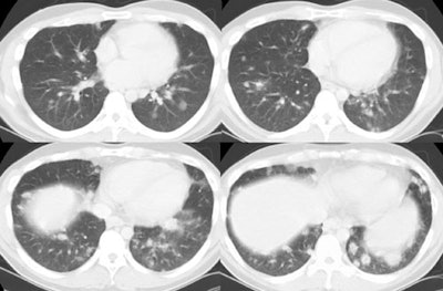
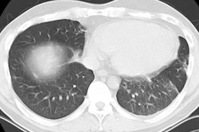
Open lung biopsy confirmed the diagnosis of BOOP. Following institution of therapy with steroids the lung lesions resolved. Click images to enlarge.

 

  08290111231445sm Ct Base Slice 08290111231569sm Ct Post Steroids

Page 1 of 64
Next Page