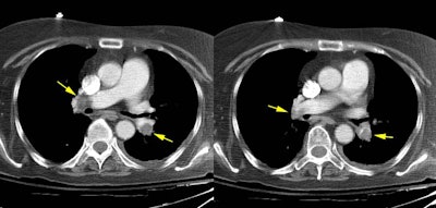
Radiology EducationResidents/FellowsMassive Pulmonary EmbolismScott WilliamsAug 28, 2001Massive Pulmonary Embolism: The case below demonstrates an example of bilateral large central pulmonary emboli (yellow arrows) Latest in Residents/FellowsRace, ethnicity influence educational debt among radiology-bound MDsAugust 15, 2025Rad residents show interest in global health imaging, but face barriersAugust 13, 2025Rad residents need more orthopedic trauma interpretation trainingJanuary 9, 2025Method quantifies improvement in resident report qualitySeptember 24, 2024Related StoriesResidents/FellowsTraumatic aortic laceration at hiatus imagesResidents/FellowsTraumatic Aortic LacerationResidents/FellowsTraumatic Aortic LacerationResidents/FellowsTraumatic Aortic Laceration