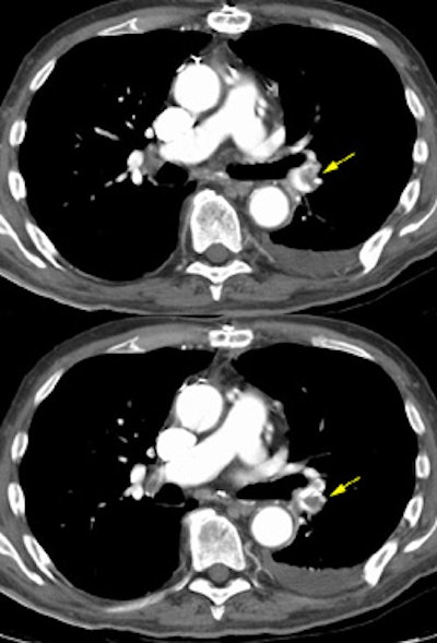
CT PE/DVT exam:
The example below demonstrates a pulmonary embolism in the left lower lobe pulmonary artery (Yellow arrows). Due to venous enhancement, clot can be seen within the right common femoral vein (Yellow arrow). The peripheral venous enhancement on this image obtained 3 minutes following intiation of the contrast infusion was approximately 90HU. The clot had an HU measurement of 44. (Click to view larger images if desired)





















