
At ECR 2016, healthcare equipment companies are displaying technology that is designed to enhance the position of radiologists and improve workflow, efficiency, and multidisciplinary teamwork within hospitals and clinics.
Sectra, for example, is demonstrating its digital pathology system that allows biopsy images to be fully integrated with those from the various imaging modalities. Key information from tissue specimens no longer have to be stored on bulky and fragile slides but can be displayed, distributed and manipulated through a shared IT infrastructure.
Sectra's integrated diagnostics display shows pathological samples alongside radiological images.ECR Today reported two years ago on the first steps in a project undertaken by Sectra in collaboration with academic groups in Europe and the U.S. Together they have addressed the technical challenges faced when accommodating enormous numbers of histological and immunohistological images into the existing structure, and the first system outside Sweden went live at Utrecht University Hospital in the Netherlands in January 2016.
Marie Ekström Trägårdh, president of Imaging IT Solutions, admits that when the project started, she was shocked at seeing glass slides still being used in a 21st century pathology department. But with the fast and efficient technology now available for imaging the specimens and to store and display those images, pathologists can contribute far more to the decisions on treatment strategies made at multidisciplinary team meetings.
For comparing findings and mapping changes over the course of treatment, Sectra has developed pattern-recognition systems that will allow features on different images to be displayed alongside each other. Both radiologists and pathologists can label and annotate those images, and changes can be applied automatically to speed up the review process and improve workflow.
Sharing images and reports with specialists in other departments will create greater transparency in patient care and should result in earlier and more accurate diagnoses, she explained. Integrated diagnosis is also good news for hospital administrators, as well as their patients, as the maintenance and operating costs will be reduced by storing and displaying the data on the same IT platform.
"When radiologists and pathologists start working together, I think they will both hugely improve their professional skills. They will learn to read and interpret the images used by their colleagues and better understand what is happening in the patient, which means higher standards in cancer diagnosis," said Ekström Trägårdh.
GE Healthcare is promoting cloud-based technologies for storing and distributing the data previously held on departmental systems. At ECR 2016, it is highlighting the next stage in this process with the GE Health Cloud, which is described as a new cloud ecosystem with applications for connecting radiologists and clinicians and helping to facilitate collaboration across care pathways and multidisciplinary teams.
The Centricity Cloud Advanced Visualization radiology app is being promoted by GE Healthcare at ECR 2016.Four new applications include an advanced visualization app for managing image postprocessing and allowing radiologists and clinicians to view advanced 3D images anytime, anywhere. There is also a virtual meeting app to help multidisciplinary teams in their collaborative care planning and reducing preparation time for such meetings by up to 20%. The company is also presenting a case exchange app allowing affiliated and nonaffiliated users to share images and reports and to confer quickly on patient cases and treatment plans. Finally, there is an image access portal for distributing longitudinal patient imaging data, offering potential improvements in turnaround times for patient reports.
"Healthcare devices are generating enormous amounts of data, and that data is expected to increase 50-fold by 2020," said John Flannery, CEO and president of GE Healthcare. "Our technology can help unlock the value of this data, quickly and seamlessly for better patient care. This will help clinicians turn data into insights, and insights into tangible actions for decision-makers to drive better outcomes."
Philips is presenting IntelliSpace Portal 8.0, the latest edition of its advanced data sharing, analytics and visualization platform that helps radiologists detect, diagnose, and follow up on treatment of diseases. This technology helps address the changing demands in radiology that result from an increasing prevalence of cancer and its rising economic toll. The latest system offers a number of new features such as fast 3D quantitative renderings of tumors, in a fully integrated oncology suite to improve diagnostic confidence and patient care.
The oncology suite complements the range of applications offered by the existing platform. It will help clinicians to visualize, diagnose, and measure disease states and communicate across modalities, with one efficient, automated, and guided workflow, stated the company. The latest release now boasts more than 68 clinical applications for seven diagnostic modalities, including CT, MRI, ultrasound, mammography, and interventional x-ray.
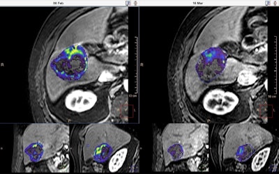
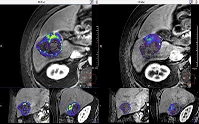
Oncologic image displayed on Philips IntelliSpace Portal 8.0 showing quantitative tumor viability (qEASL*) before and after transarterial chemoembolization (TACE). Much of the viable tumor (colored) becomes less enhanced (transparent) after the treatment.Researchers at Siemens have focused on the health economic aspects of the various imaging technologies, as well as on their diagnostic efficiency. At ECR 2016, the company is demonstrating the next phase in the development of its Teamplay IT solution for analyzing and optimizing the myriad work processes that are part of the routine daily work of all large hospital radiology departments.
Teamplay is a cloud-based network allowing hospital managers to access anonymized data from thousands of Siemens scanners installed across the globe to benchmark the department's performance and identify areas where there is scope for improving efficiency. The technology is easy to install, simple to operate, and can even allow comparisons with scans carried out on other vendors' equipment, according to Dr. Marc Lauterbach, vice president for marketing with Siemens' healthcare IT business.
Teamplay from Siemens is a cloud-based network that allows hospital managers to access anonymized data."We introduced Teamplay last year with two functions which analyses utilization levels -- how efficiently a particular scanner was being used -- and the dose level involved for each modality that uses electromagnetic radiation," he said. "This year we have added a function that analyses the protocols being employed. This is closing the loop, giving our customers the means to understand the current situation in their imaging fleet and showing what needs to be done to operate that equipment more cost-effectively."
Agfa HealthCare is unveiling its Enterprise Imaging solution, developed to simplify the creation of a single, comprehensive patient imaging record. The technology provides access to relevant clinical images from multiple departments, allowing caregivers to create, collaborate, exchange, and manage patient data. It is offered with a range of eight integrated software packages, including enterprise imaging for radiology, enterprise imaging for cardiology, enterprise electronic health record imaging, regional health, a vendor-neutral archive (VNA), image exchange, universal view, and business analytics.
Fujifilm is showcasing its evolving portfolio of Synapse integrated solutions. Synapse VNA, from the company's recently acquired U.S. subsidiary TeraMedica, enables the management, distribution, and visualization of DICOM and non-DICOM images and standards-based documents from any departmental system. The next generation Synapse VNA version 6.0 on show this year includes a completely redesigned demographics quality assurance, user interface, and support for VNA role-based dashboards.
Synapse PACS offers new user interface with fast image display, Synapse Commonview sharing capability for outside and cloud study transfers, and integration capabilities with other radiology and healthcare IT vendors to optimize workflow, the company said.
Originally published in ECR Today on 5 March 2016.
Copyright © 2016 European Society of Radiology















