
En muchos grandes hospitales, los radiólogos están utilizando cada vez más la RM para obtener segundas opiniones para las ecografías fetales ambiguas, según una letanía cada vez mayor de informes médicos.
Basado en su éxito, los investigadores creen que la modalidad puede dirigir el curso de muchos embarazos. Pero advierten que es mejor dejar la RM prenatal a los radiólogos familiarizados con la técnica, y que solamente es necesaria en los casos de ecografía más difíciles de interpretar.
Según un informe presentado durante la reunión del Instituto Americano de Ecografías 2001, se puede encontrar un ejemplo del nuevo nicho obstétrico de la RM en la Escuela de Medicina de Mount Sinai en la Ciudad de Nueva York, donde los radiólogos a menudo utilizan la modalidad para producir mejores imágenes de las masas craneales difíciles de diagnosticar con tan sólo la ecografía.
En un caso en particular, la ecografía parecía representar al cráneo del feto perforado por vasos sanguíneos -- una anomalía potencialmente mortal, explicó Dr. Carl Saphier, director de partos en Mount Sinai. Afortunadamente, al examinarlo minuciosamente con la RM, se encontró que el cráneo estaba intacto.
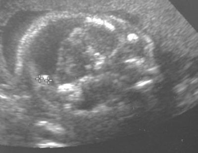
![]() |
un quiste con una calcificación posterior a la fosa posterior.
Imagen por gentileza de Dra. Deborah Levine.
Existen varias razones por las cuales la RM supera en el desempeño de sus funciones a las ecografías, dijo Saphier, que cada mes envía a alrededor de diez mujeres embarazadas de cada mil a la RM. En primer lugar, las ecografías están limitadas por el líquido amniótico; las ondas sonoras necesitan pasar por agua, y cuando los niveles son bajos, sufre la calidad de la imagen.
Segundo, un exceso de material quirúrgico y tejido adiposo a menudo perturban las ondas sonoras. Éste fue el caso de una paciente de Mount Sinai. La ecografía de una mujer morbosamente obesa, que también había sido sometida a la colocación de una malla abdominal para reparar una hernia, sugería que su feto podía tener encefalocele, una afección en la que hay un espacio en el cráneo. Pero la imagen no era conclusiva.
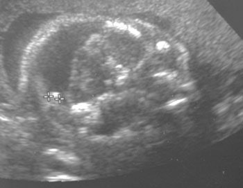
![]() |
"Las ondas sonoras no podían penetrar la pared abdominal de la paciente obesa," dijo Saphier. "Pero la RM resultó ser bastante útil. Confirmó la anomalía sospechada y el embarazo fue interrumpido."
Además de las masas craneales, Saphier y sus compañeros también han utilizado la exquisita resolución de la RM para obtener mejores imágenes fetales de hernias diafragmáticas, riñones, y anomalías del cerebro.
Se están abriendo nuevos caminos para aún más usos en el Centro Médico de Beth Israel Deaconess en Boston, donde los investigadores se están acercando al final de un estudio de cinco años financiado por los Institutos Nacionales de Salud para evaluar como complementa la RM a las ecografías prenatales en el diagnóstico de afecciones del sistema nervioso central. Hasta ahora, los resultados han sido prometedores.
"La RM casi siempre hará que uno esté más seguro de su diagnóstico," dijo la profesora asociada de radiología Dra. Deborah Levine. "Informa cómo aconsejar al paciente. A veces dirige el modo y el horario del parto, o ayuda al paciente a decidir si interrumpir un embarazo."
Levine, que supervisa aproximadamente un examen prenatal de RM por semana, dice que encuentra la modalidad especialmente de ayuda en determinar si los fetos sufren de alguna anomalía del sistema nervioso central, además de definir muchas masas de pecho. Afirmó que algunos radiólogos también están utilizando la RM para tener una mejor idea del volumen fetal, en particular en fetos anómalos que son o demasiado grandes o demasiado pequeños.
Básicamente, la RM es de ayuda cuando la ecografía no está clara, dijo Levine – una regla general que ha permitido que el procedimiento se imponga en instituciones por todo el mundo.
En Europa, según un estudio holandés publicado en Diagnóstico y Terapia del Feto, los investigadores del Hospital Universitario de Amsterdam utilizaron la RM ultrarápida, que permite explorar sin sedar al feto, para producir imágenes de 39 pacientes con 41 fetos cuyas ecografías crearon sospechas de anomalías del cerebro, la columna vertebral, o el esqueleto. La RM ofreció información adicional en 22 de los fetos, llevando a los investigadores a concluir que la RM es aconsejable en los casos que parecen equívocos por ecografía (Noviembre Diciembre 2000, Vol.15-6, pp.364-372).
Pero no espere que la RM usurpe a la ecografía. A pesar de las ventajas de la RM, la ecografía aún es económica, omnipresente, y fácil de usar -- por lo tanto continuará siendo el examen prenatal estándar para la producción de imágenes, dijo Saphier. El transductor de ecografías puede ser fácilmente maniobrado para obtener imágenes rápidas, de calidad, dijo el mismo.
Con la excepción de protocolos ultrarápidos, la RM está limitada por el movimiento fetal, añadió. Señaló que aunque la RM fetal ha sido clínicamente probada, su rentabilidad aún está siendo examinada – una tarea complicada porque la RM prenatal a menudo ocupa una zona gris difícil de cuantificar: Le da a los radiólogos más confianza sobre un diagnóstico, pero en muchos casos no afecta el manejo del paciente.
Y la RM fetal es difícil. Únicamente debe ser utilizada clínicamente en centros que tengan experiencia con la RM y el embarazo, dijo Saphier. En Mount Sinai, Saphier hace un fondo común de la experiencia de todos cuando se envían casos a la sala de la RM. Los obstetras colaboran con los radiólogos, y ambos interpretan los estudios.
"Yo reservaría la RM sólo para los casos que necesitan ser confirmados porque la ecografía no está clara," dijo.
Todo esto significa que la ecografía continuará siendo la modalidad principal para el diagnóstico prenatal. Pero en los centros donde tengan el conocimiento y los medios, Saphier cree que la RM dará a los radiólogos un poderoso recurso cuando se vean ante ecografías desconcertantes.
Por Dan Krotz
Colaborador con AuntMinnie.com
Haz clic aquí para poner sus comentarios sobre este artículo en nuestro foro en español. Por favor incluya el titular del artículo en su mensaje.
Copyright © 2001 AuntMinnie.com. Todos los derechos reservados.





















