
Plain chest x-rays failed to detect early lung cancer about one-third of the time in general healthcare settings in a recent study, investigators reported at the 2006 American Thoracic Society (ATS) conference in San Diego.
Dr. Devaki Gnananandha, a specialist registrar in respiratory medicine at Burnley General Hospital in Lancashire, U.K., and colleagues reviewed the records of 98 patients who had been diagnosed with primary lung cancer in 2002. They identified a subset of patients who underwent chest x-ray and chest CT.
"It is important to determine how many lung cancers we miss on plain chest x-ray given the advantages of earlier detection including better symptom control," Gnananandha said. "This is particularly important in light of the ongoing national lung cancer screening trial sponsored by the U.S. National Cancer Institute and prior papers which have shown that CT scanning can detect earlier lung cancer than plain x-ray."
The present study was conducted in a U.K. district general hospital where CT screening facilities will not be available in the near future, she added.
The films were evaluated by a supervising radiologist with knowledge of the final lesion. Films that showed any evidence of early lung cancer were reread by two independent radiologists who were apprised of the study design, but blinded to the lesion's location.
Of the 47 patients who had prior chest films, 44 were available. Overall, 24 were considered by the supervising radiologist to be abnormal -- that is, suggestive of a possible cancer.
![]() |
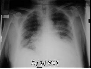
| Images A and B are both examples of left ventricular function masking neoplastic lesion in left upper zone. Images courtesy of Dr. Devaki Gnananandha. |
![]() |
Seven of the 24 chest films with a pre-existing x-ray abnormality had been reported correctly, but not appropriately followed up, Gnananandha's group stated. Seventeen had not been reported as possible cancers previously.
Of the 17 with a possible missed cancer, four were judged as normal, or practically undetectable, by both readers. Of the remaining 13, five were judged as abnormal by only one radiologist, and eight were reported as abnormal by both radiologists. "This translates into a total miss rate of 13 of 44 chest x-rays or 30%," Gnananandha said.
Overall, in seven of 44 chest films reviewed in this series, diagnosis was delayed due to failure of the follow-up system for abnormal reports. Four of the seven cases involved a failure to repeat films. In most of the abnormal chest films, the lesions were hidden within the hilum or behind the heart, or were obscured by edema related to left ventricular dysfunction.
Gnananandha said that while the miss rate at her institution was high, it is lower than an earlier U.K. study, which reported a 50% miss rate (Postgraduate Medical Journal, March 2002, Vol. 78:917, pp. 158-160).
Gnananandha emphasized that the overall delay in diagnosis of 13 lesions, which were detectable but missed, led to a median delay of seven months.
Based on the findings, Gnananandha called for stricter adherence to U.K. guidelines that recommend that all chest x-ray reports suggesting lung neoplasia should be forwarded to a lung cancer multidisciplinary team. She also recommended measures to ensure follow-up of abnormal x-rays, especially those showing consolidation and left ventricular dysfunction.
By Jill Stein
AuntMinnie.com contributing writer
June 9, 2006
Related Reading
A checklist: Good for grocery shopping, but not for reading chest x-rays, March 13, 2006
CT screening identifies curable lung cancers, February 14, 2006
I-ELCAP data suggest need to work up secondary lung lesions, January 9, 2006
Copyright © 2006 AuntMinnie.com





















