
CHICAGO - These days the long arm of the law is reaching deep into suspected drug-smuggling operations in Pakistan -- in some cases right into the bellies of suspected drug traffickers. In cases referred by customs officials, radiologists in the port city of Karachi are now using abdominal ultrasound, x-ray and CT to thwart so-called "body packers" who swallow capsules of heroin before attempting to leave the country.
In a comparative study of 70 suspected drug smugglers, Dr. Sarwat Hussain, Dr. Tariq Mahmood, Abdul Ghaffar and colleagues from the Jinnah Postgraduate Medical Center (JPMC) in Karachi found that CT was more sensitive than ultrasound and plain films for detecting the ingested capsules.
Digital radiography, which was not available, would presumably have performed as well as the CT scout images used to detect the capsules, said lead investigator Hussain, who presented the group’s findings at Sunday’s gastroenterology sessions of the 2003 RSNA meeting.
“The drug smugglers, also called ‘mules,’ basically come in two types,” Hussain said. “One is the 'body packers,' who swallow capsules in a planned manner before their journey. The others are 'body stuffers,' who in panic swallow poorly packaged drugs” when they find themselves in a situation where detection of the contraband is imminent.
Between 1999 and 2003, Pakistani customs officers turned over 389 suspected smugglers to the JPMC poison control center. Of these, 70 patients (50 male, 20 female, all under 40 years of age) underwent imaging with ultrasound, x-ray and CT to search for ingested drug capsules.
Citizens from 18 different nations were among those apprehended. There were significant numbers of Nigerians (21), Afghanis (9), and Tanzanians (5) Hussain said, but also 2 citizens from the U.S. and 2 from the U.K.
The swallowed drug capsules ranged in size from 1.5 cm to a horse-choking 9 cm. “The covering was about 1 mm thick … made of tin foil or Scotch tape, or even condoms,” he said. “Per body packer there was anywhere from 50 to 100 capsules, each capsule carrying from 8 to 20 grams of heroin, and a total of between 600 and 1,000 grams of heroin (each). I’ll leave it to you to calculate the street value."
“I have to say the packers have become more clever: tin foil is detected easily on a plain radiograph, so they have gone more to condoms and also to Scotch tape,” Hussain said.
![]() |
| Recovered heroin capsules wrapped in aluminum foil. All images courtesy of Dr. Sarwat Hussain. |
Power color Doppler ultrasound was conducted on an Ecoccee scanner (Toshiba America Medical Systems, Tustin, CA), while x-rays were acquired on a Trophy x-ray machine, and CT scout images on an Toshiba XpressGX single-slice spiral scanner, he said.
All 70 patients were found to be carrying drugs in the gastrointestinal tract, and 5 females also had drugs hidden in the vaginal canal. “The probability of detection is very high before the patients are referred for imaging,” Hussain later told AuntMinnie.com.
Ultrasound detected 49/70 (70%) of the patients carrying drugs. The capsules were visualized as echogenic foci with very strong posterior acoustic shadowing. “And unless one was familiar with the appearance (of the capsules) or there is high probability, it would be difficult to determine the presence of these capsules (on ultrasound),” Hussain said.
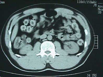
X-ray detected capsules in 59/70 patients (85%) and in all 70 patients (100%) imaged with CT. In these modalities the foreign bodies were seen as oval or rectangular densities surrounded by halos, said to represent air trapped within the Scotch tape or between two layers of condom. And for reasons the researchers do not yet understand, on CT the rims of the capsules were distinctively denser at 40 to 90 HU, while the centers were lucent at - 20 to -50 HU, Hussain said.
![]() |
| Drug-bearing capsules with lucent halos can be seen in plain film image (above). In abdominal CT scout image (below), the lucent centers of the capsules contrast with denser rims. |
![]() |
“In 4 of these patients there were complications, 3 of them with intestinal obstructions; 1 requiring laparotomy for removal of the obstruction,” he said. In some cases the capsules were difficult to distinguish from compacted fecal matter. One of the patients died when the capsule ruptured, he said.
These days, radiologists should be familiar with the appearance of ingested capsules, Hussain said. He added that many countries are now considering the installation of CT scanners at border control facilities where such smuggling is likely to occur.
By Eric Barnes
AuntMinnie.com staff writer
December 1, 2003
Copyright © 2003 AuntMinnie.com























