
Small, part-solid, elongated pulmonary nodules detected by computer-aided detection (CAD) software on MDCT chest scans are more likely to be rejected by radiologists than lesions with other characteristics, according to Dr. Chin Yi, a radiology research fellow at Stanford University School of Medicine in Stanford, CA.
As part of an ongoing evaluation of a noncommercial CAD software program developed at Stanford for use with MDCT chest scans, three members of the radiology faculty (one thoracic and two body specialists) reviewed 20 scans of outpatients suspected of having cardiac or lung disease. The radiologists made their evaluations in several sessions to minimize any effects of fatigue in this prospective study, according to Yi. She presented the team's research at the 2007 RSNA meeting in Chicago.
Each radiologist first performed a free search of the MDCT scans (1.25-mm section thickness and 0.6-mm interval) and marked suspicious nodules. They subsequently reviewed the same scans after being marked by the CAD software. Each radiologist was asked to assign a confidence level (1 to 5) to every CAD software detection, accepting (3 to 5) or rejecting (0 to 2) each.
Two thoracic radiologists working in consensus reviewed the CAD-processed and unprocessed scans, identifying 190 true-positive noncalcified nodules greater than 3 mm. The nodules were evaluated with respect to size, shape, margin, and whether they were solid, part-solid, or nonsolid, Yi said. Their location and relationship to the bronchovascular bundle was also noted.
"Only 37%, or 71 of the 190 true-positive nodules in the reference standard, were detected by all three radiologists in the free search," Yi reported.
![]() |
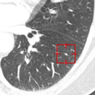
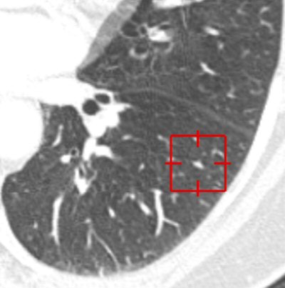
| An elongated nodule missed by all three radiologists during free search. On the axial image (above), the small nodule looks more likely to be a vascular structure with an elongated shape and parallel orientation with adjacent branching vessels. On the coronal image (below), the lesion seems more globular in the craniocaudal direction. 3D volume-rendered image (bottom) presents a discrete nodule between vessels. Although this true-positive nodule was detected by CAD, all three radiologists rejected this nodule with low confidence scores. All images courtesy of Dr. Chin Yi. |
![]() |
![]() |
Reader 1 missed 34.7%, or 66 nodules. Of these 66 missed nodules, 36 (or 54.5%) were identified by CAD. Reader 2 missed 44.7%, or 85 nodules; CAD detected 58 (68.2%) of the missed nodules. Reader 3 missed 49.5%, or 94 nodules, of which CAD correctly identified 65 (69.1%).
According to Yi, 81 of the 119 nodules (68%) missed by at least one of the three readers were correctly identified by the CAD software. Half of these nodules were accepted by all three readers as true-positive identifications they had missed. But 40 were rejected by at least one radiologist.
Reader 1, who correctly identified the largest number of nodules, rejected 58% of those CAD identified. Reader 2, who missed 44.7%, rejected 14%, and reader 3 missed 49.9% and rejected 52%. Yi said that this variability reinforced the significant differences in performance reported in research conducted in 2004 (Radiology, January 2005, Vol. 234:1, pp. 274-283).
"Understanding the characteristics of true-positive nodules marked by CAD that have a higher probability of being rejected by even the most experienced specialists may help radiologists make better use of CAD to improve sensitivity," Yi explained. "Readers using CAD-marked MDCT chest scans also need to be very acquainted with the variability of opinion on the definition of pulmonary nodules."
By Cynthia Keen
AuntMinnie.com contributing writer
January 22, 2008
Related Reading
Mammo CAD results show reproducibility in serial exams, January 10, 2008
CAD offers value in detecting lung nodules with CT, December 17, 2007
CAD may boost radiologists' ability to characterize lung nodules, November 25, 2007
CARS news: USC group develops home-grown CAD-PACS integration toolkit, June 29, 2007
CAD performs well in lung nodule detection, February 5, 2007
Copyright © 2008 AuntMinnie.com























