
Virtual colonoscopy (VC or CT colonography [CTC]) achieved high overall sensitivity in a three-part study that examined patients with minimal-prep VC, then standard-prep VC and conventional colonoscopy. But the tagged, minimal-prep protocol tended to miss more flat lesions.
Vigorous bowel preparation is an impediment to widespread colorectal cancer screening, sparking efforts to create alternative screening methods, said Dr. Michael Macari of New York University (NYU) in a recent presentation.
"A number of recent reports have pointed out the inability of CTC to detect flat colorectal polyps, even using standard prep," he said. "These flat lesions could be extremely difficult to see if one uses fecal tagging without bowel cleansing."
Macari is an associate professor of radiology at NYU and a radiologist at NYU Medical Center, both in New York City. He presented the study findings at the 2007 RSNA meeting in Chicago.
Macari and his colleagues at NYU aimed to compare VC data obtained with fecal tagging but without bowel cleansing to VC and conventional colonoscopy after purgative bowel cleansing for detecting lesions 10 mm and larger, and determine if the detection rates differed on the basis of polyp morphology.
The subjects included 72 men 50 years and older who were recruited from the New York Campus of the Veterans Affairs New York Harbor Healthcare System in New York City. All were scheduled for screening with conventional colonoscopy.
On the first days of the prep protocol, subjects ate a normal dinner with 25 mL of 40% barium suspension (Tagitol, E-Z-EM, Lake Success, NY). Day two consisted of a special meal kit that included a low-fat, low-fiber breakfast, lunch, and dinner.
Prone and supine virtual colonoscopy images were acquired on day three using a 64-slice CT scanner (Somatom Sensation 64, Siemens Healthcare, Malvern, PA), with images interpreted on a workstation using a primary 2D approach. The researchers also recorded the morphology of polyps 10 mm and larger to look for different detection sensitivities among the screening methods.
One week later all patients underwent standard cathartic bowel prep followed by repeat virtual colonoscopy with a combined 2D and 3D approach to evaluation on the workstation, immediately followed by optical colonoscopy.
Segmentally unblinded colonoscopy results served as the reference standard, and the results of all three exams were compared for the study, Macari said.
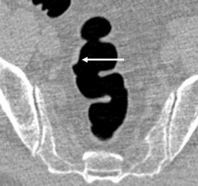
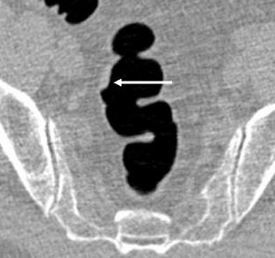
![]() |
| Three views of a flat lesion: 60-year-old man with an 11-mm tubular adenoma seen at 2D (top) and 3D (below) VC, but initially missed at endoscopy (bottom). All images courtesy of Dr. Michael Macari. |
![]() |
![]() |
"Of 72 patients who underwent CTC, 66 had no polyp greater than 10 mm," Macari said. "There were two false positives using the tagging regimen (specificity 96.9%), one false positive with bowel-cleansing CT (specificity 98.4%), and no false positives with colonoscopy, though these (differences) are not statistically significant (p > 0.02)."
Segmental unblinded colonoscopy showed a total of six patients with seven polyps 10 mm or larger, including pedunculated (n = 1), sessile (n = 2), and flat (n = 4). Sensitivity was 43% (3/7) for VC with tagging, 86% (6/7) for VC with full bowel prep and 71% (5/7) for first-pass optical colonoscopy, the authors reported.
Three of four lesions missed with tagging had flat morphology. There were no significant differences (p > 0.12) among the three modalities with respect to sensitivity for detecting polyps 10 mm or larger.
"In the tagged lesions, three of the four missed lesions (at VC) were, in fact, flat," Macari said. The remaining flat lesion went undetected in 2D VC, "but during 3D review I noticed this flat lesion and it was confirmed at (optical colonoscopy)," he said. "So that means 3D is really helpful."
With a relatively small number of patients in the study, "there was no statistically significant difference, but there was a trend toward poor detection of these flat lesions using a noncathartic prep," Macari said. Whether electronic cleansing can aid visualization of flat polyps is a question for a future study, he added.
By Eric Barnes
AuntMinnie.com staff writer
April 17, 2008
Related Reading
CAD nabs the flat polyps VC readers may miss, March 9, 2008
Flat colorectal tumors relatively common in U.S. population, linked to cancer, March 5, 2007
American Cancer Society recognizes virtual colonoscopy screening benefit, March 5, 2008
Noncathartic bowel prep facilitates, complicates virtual colonoscopy, June 15, 2007
Prepless VC misses some diminutive flat lesions, January 17, 2006
Copyright © 2008 AuntMinnie.com























