
VIENNA - Diabetic patients have smaller vessels and larger coronary artery calcifications than nondiabetics, a combination that reduces the utility of coronary CT angiography (CTA), according to a new study from Italy.
The prevalence of subclinical atherosclerosis in asymptomatic diabetic patients is widespread, said Dr. Daniele Andreini from the Centro Cardiologico Monzino in Milan.
"We know that diabetes is a risk factor for cardiovascular events and could lead to an aggressive form of coronary atherosclerosis," Andreini said in a presentation on Sunday at the European Congress of Radiology (ECR).
In various ways, at least 41 different studies confirm that view, he said. Among them, a 2008 study by Iwasaki and colleagues found that the prevalence of subclinical atherosclerosis in a cohort of asymptomatic diabetic patients was 91.4% compared to 61.7% of the nondiabetic group (p = 0.003), and significant stenosis was found in 33% of the diabetic group compared with 16% of normal patients (Coronary Artery Disease, May 2008, Vol. 19:3, pp. 195-201).
Another study, by Cademartiri and colleagues, found that event-free survival was significantly lower in the diabetic population compared to the normal control population, and that it was closely correlated with the presence of significant coronary artery disease. CT is a good method of stratifying such risk and it provides an additional prognostic value, they concluded (La Radiologia Medica, August 2008, Vol. 13:5, pp. 627-643).
But Andreini believes that CTA may be even more difficult in diabetics than in other patients with a high probability of coronary artery disease.
"We know that the presence of large coronary artery calcifications, as seen in our group, is one of the main causes of the unreliability of coronary artery evaluation by CT," he said. He and his colleagues found that coronary artery calcifications were the third largest cause of nonevaluable segments (Andreini et al, Journal of the American College of Cardiology, May 2007, Vol. 49:20, pp. 2044-2050).
To make matters worse, the smaller-than-normal arteries among diabetics (Elezi et al, JACC, October 3, 2006, Vol. 48:7, pp. 1304-1309; Dybdahl et al, Diabetologia, November 1987, Vol. 30:11, pp. 882-886) are also likely to affect the performance of coronary CTA, he said.
The present study aimed to evaluate the diagnostic performance of 64-detector-row CT in diabetic patients with suspected coronary artery disease, who were scheduled for invasive coronary angiography because of a positive stress test and/or symptoms of angina.
The group examined 99 diabetic patients (86 men, 13 women; mean age, 65 ± 9 years) using 64-detector-row CT angiography (LightSpeed VCT, GE Healthcare, Chalfont St. Giles, U.K.).
A control group of 105 nondiabetic individuals with otherwise similar demographic and clinical characteristics and similar risk factors, except for diabetes, were also scanned for comparison.
Acquisition parameters included 0.625-mm collimation, 650 mAs, 120 kV, and 0.25 pitch. Patients were given beta-blockers to achieve a heart rate of 65 bpm or less.
On a segment-based analysis, the number of evaluable segments "was significantly lower in the diabetic versus the [nondiabetic] group 2, 94% versus 97%, and analysis of the different types of artifacts shows a higher number of blooming artifacts due to the large calcifications in the diabetic group," he said.
The diagnostic accuracy for detecting significant coronary artery disease using a segment-based model in the diabetic versus nondiabetic patients showed a sensitivity of 76% (87%) and a specificity of 96% (96%).
"The comparison of diagnostic accuracy between the two groups [87% in the diabetic group versus 96% in the nondiabetic group] confirmed that all diagnostic parameters are significantly lower in the diabetic group," Andreini said.
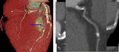
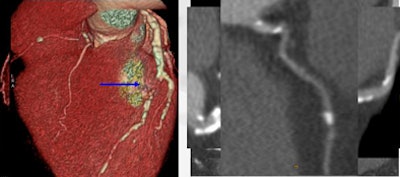
![]() |
| A diabetic patient with severe, diffuse artery disease encompassing three vessels was difficult to evaluate with 64-detector-row coronary CT angiography. There is occlusion in all segments of the left coronary artery, left circumflex artery, and right coronary artery. Image courtesy of Dr. Daniele Andreini. |
Similarly, the patient-based analysis showed that specificity, negative predictive value, and diagnostic accuracy were significantly lower in the diabetic group versus the nondiabetic patients, with a specificity of 33% (83%), a positive predictive value of 91% (97%), a negative predictive value of 25% (79%), and overall accuracy of 86% (93%).
Finally, the time needed for postprocessing analysis was significantly higher in the diabetic group (35 ± 18 minutes) compared to the nondiabetic group (21 ± 14 minutes, p < 0.01).
"MDCT coronary angiography of the diabetic patient with suspected coronary artery disease in comparison with a nondiabetic population with similar characteristics has demonstrated a lower feasibility mainly due to the larger calcifications; a lower diagnostic accuracy because of calcifications, smaller vessels, and an acute form of coronary artery disease; and the higher postprocessing time."
A moderator asked if these high-risk patients really needed CT after a positive stress test. "This is the main question," Andreini said, adding that he is generally more willing than the cardiologists to proceed directly to invasive angiography in patients with such a high probability of disease.
By Eric Barnes
AuntMinnie.com staff writer
March 8, 2009
Related Reading
IVUS finds similar antiatherosclerotic effects for two diabetes drugs, November 14, 2008
Diabetes linked to accelerated atherosclerotic plaque progression, August 11, 2008
Diabetes type affects outcomes after hip and knee arthroplasty, March 6, 2008
Ultrasound detects foot muscle atrophy in diabetics, December 26, 2007
Copyright © 2009 AuntMinnie.com




















