
VIENNA - A new study presented at ECR 2015 reveals that 19% of middle-aged athletes are at risk of coronary events -- confirming the serious risks to asymptomatic individuals suggested in earlier U.S. studies looking at sudden cardiac death.
In the study from University Medical Center Utrecht in the Netherlands, more than 300 athletes older than 45 underwent coronary calcium scoring, and the results were compared with their Framingham risk score to determine their risk of cardiac events. In all, 19% were found to be at risk for coronary events, even if their Framingham risk score is low and they have no evidence of ischemia. This risk is common enough and serious enough that CT screening of all middle-aged athletes might be a prudent option, according to the researchers.

"CT detects coronary artery disease in about one in five asymptomatic male athletes who have no signs of ischemia on their exercise [electrocardiogram (ECG)]," said Dr. Thijs Braber. "We also conclude that CT reclassifies 16% to a high absolute cardiovascular disease risk."
Certainly this is not the first study to find coronary artery disease in middle-aged recreational athletes, Braber said. A few years ago, Dr. Jonathan Kim et al assessed the rate of marathon-related cardiac arrest during the first 10 years of the century. They found that most cardiac arrests occurred in middle-aged men, cardiovascular disease was usually the cause, and ischemic coronary disease was usually behind the event.
Another study compared Framingham risk score with coronary calcium score in 108 apparently healthy male runners. The researchers found much higher calcium scores in the Framingham-matched study group, as well as several coronary events during the follow-up period.
Exercise is, of course, responsible for maintaining health in these athletes, but paradoxically it also transiently increases the risk of myocardial infarction, Braber said.
"The goal of the study was to assess the value of CT in the assessment of middle-aged recreational athletes free of cardiovascular disease, who had no signs of ischemia on ECG," he said.
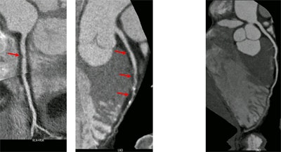
In total, 314 individuals older than 45 underwent prospective ECG-triggered CT using a 256-slice CT scanner (Brilliance iCT, Philips Healthcare). The presence of relevant coronary artery disease (CAD) was defined as having an Agatston calcium score of at least 100 on noncontrast CT or obstructive (≥ 50%) luminal stenosis on coronary CT angiography.
Finally, the study team reclassified the cardiac risk of the screening subjects based on the coronary calcium score. "We also calculated the number needed to screen to prevent one cardiovascular event in the next five years, conditional on the performance of statin treatment," Braber said. About 90% of these cardiac events during recreational athletic activity occur in men older than 45 years of age.

"We also know that a normal exercise ECG does not preclude these events, so in order to prevent these events, it would imply screening," he said.
All 314 participants had good exercise tolerance with no signs of ischemia on ECG, and 51 (16%) had coronary calcium scores greater than 100. Coronary CT angiography added eight more at-risk patients with luminal narrowing greater than 50%.
Altogether, CT identified CAD in 59 (19%) of the 314 participants (95% confidence interval: 15%-24%). Seventeen patients (5%) had moderate-to-severe coronary stenosis of at least 50%.
The number needed to screen to prevent one cardiovascular event in the next five years was 118, or 101 when combined with coronary CT angiography -- "much lower than other common tests used for screening, such as mammography or screening for hypertension," Braber said.
Is the real risk in engaging in sports, a moderator asked? Certainly there are risks in intensive sports such as marathon running, Braber said. If any advice were appropriate, it would be to avoid engaging in high-intensity sports, which people simply aren't going to do.
"There are increasing data to the effect that high-intensity exercise is not healthy," he said.
And should all middle-aged athletes be screened with CT?
"We should perform this exercise in a larger group in order to conclude that," he said. "But, of course, with a low radiation dose of just 1 mSv for noncontrast CT, I would suggest performing a randomized controlled trial in a larger group, and follow them up for five to 10 years."