
Assessing breast cancer in men is an uncommon clinical use for FDG-PET/CT, but the hybrid modality achieves results comparable to those in women in regard to accurate staging of the disease, according to a study published online September 21 in the Journal of Nuclear Medicine.
PET/CT showed unsuspected distant metastases in 18% of cases, which resulted in patients being upstaged to stage IV. This was comparable to rates among female patients with breast cancer.
"The detection of unsuspected distant metastatic disease by FDG-PET/CT in these patients will increase the correct characterization of initial stage IV disease, which will result in substantial altering of treatment strategy and prognosis," wrote lead author Dr. Gary Ulaner and colleagues from Memorial Sloan Kettering Cancer Center (MSKCC) and Weill Cornell Medical College.
Men account for only 1% of all breast cancer cases, according to previous research. Therefore, it is "not surprising that data on the use of FDG-PET/CT are very limited," the authors wrote. In addition, there are currently no screening guidelines for cancer detection in these cases.
"Given the lack of data and the absence of guidelines for FDG-PET/CT in the initial staging of male breast cancer, an analysis of the value of FDG-PET/CT for systemic staging of male breast cancer is warranted," Ulaner and colleagues added.
The researchers reviewed MSKCC records between January 2004 and December 2017 and found 10,124 patients who had undergone FDG-PET/CT for breast cancer. Of that total, only 106 patients were male. From there, 39 men (median age, 62 years; range: 31-90 years) met the inclusion criteria. Of those cases, 37 primary breast malignancies (95%) were ductal in histology and 38 (97%) were positive for the estrogen receptor.
FDG-PET/CT scans (Discovery, GE Healthcare) were performed with patients in the supine position from the midskull to the midthigh, with patients receiving 444 MBq to 555 MBq of FDG as part of the protocol. Imaging was conducted before systemic or radiation therapy.

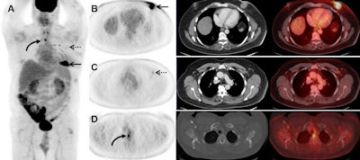
The images revealed previously unsuspected distant metastases in seven patients (18%), whose conditions were upgraded to stage IV breast cancer. The change in staging included three (16%) of 19 initial stage IIB patients and four (33%) of 12 initial stage III patients.
The researchers also observed suspected metastatic sites in the bone of six patients (15%) and in the lungs of three men (7%), and there were distant nodal metastases in three subjects (7%).
Ulaner and colleagues cited the small number of subjects and retrospective approach as study limitations. However, the number of male breast cancer patients who underwent FDG-PET/CT "performed at initial staging was high and pathologic proof of PET/CT findings was available in the majority of cases," they wrote. "This allowed for an evaluation of upstaging rates based on pre-PET/CT stage, which was previously unavailable."