
Under certain parameters, 3-tesla MRI scans can be performed safely on patients undergoing deep brain stimulation (DBS) for neurological conditions, according to a study published in the October issue of Radiology.
Researchers performed structural and functional MRI (fMRI) scans on more than 100 patients who underwent deep brain stimulation and found no short- or long-term adverse effects from the scans. In addition, hardware-related artifacts obscured only a small percentage of the brain, leaving a great majority of it fit for fMRI analysis.
"Our experience with deep brain stimulation MRI demonstrates that (a) MRI of individuals receiving DBS outside prescribed vendor guidelines may be done safely and (b) functional MRI data are amenable for analysis despite the susceptibility artifacts," wrote the group led by Dr. Alexandre Boutet from the University of Toronto (Radiology, October 2019, Vol. 293:1, pp. 49-57).

MRI has been instrumental in assessing the efficacy of deep brain stimulation, with fMRI illustrating the activation of motor and emotional circuits during treatment. However, because the procedure is delivered through implanted metallic brain electrodes, there are safety concerns with MRI.
Previous research has used phantoms to replicate deep brain stimulation neuromodulation devices in patients to gauge the safety of MRI scans, primarily focusing on how the scanner's magnet might heat the neuromodulation system. In a February 2019 study, Boutet et al used a phantom to simulate 3-tesla MRI scans of patients who underwent deep brain stimulation with various pulse sequences. While certain MRI pulse sequences appeared to be safe, T2-weighted sequences should be avoided, they found.
"Because patients receiving DBS may require a wide range of MRI sequences for clinical purposes ... additional data expounding the safety profile of MRI in individuals receiving DBS would be beneficial," the authors noted.
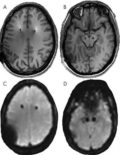
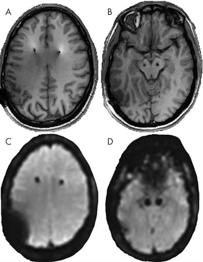
To gather more information, they prospectively enrolled 102 participants (mean age, 60 ± 11 years), with 29 subjects (28%) undergoing both 1.5- and 3-tesla MRI and 73 (72%) having 3-tesla MRI only. Scans included an fMRI protocol of T1-weighted imaging and gradient-recalled echo-planar imaging (GRE-EPI) to quantify artifacts related to cranial coil wire and electrode contacts.
The researchers found no MRI-related short- or long-term adverse events or acute changes among the subjects. They observed artifacts most prominently near the electrode contacts and in the frontoparietal cortical area where extension wire is located.
Electrode contact artifacts had a mean diameter of 9.3 mm (± 1.6 mm), and 1.9% (± 0.8%) of the brain was obscured by a coil artifact. Coil artifacts were significantly larger on 3-tesla MRI, obscuring 2.1% (± 0.7%) of intracranial volume, compared with 1.4% (± 0.7%) obscurity on 1.5-tesla MRI (p < 0.001).
Even with the larger percentage of the brain obstructed by coil artifact at 3 tesla, the authors emphasized that "most of the brain is visible and fit for analyses such as functional MRI."