
CANCÚN, MÉXICO – Con la ayuda de un potente transductor que puede penetrar el cráneo, los radiólogos en Cuba tienen a su disposición una nueva y versátil herramienta ecográfica para examinar la cabeza y el cuello.
En el XXII Congreso Internacional de Radiología, el Dr. Orlando Valls Pérez y la Dra. Vivian Fleites Brague del Hospital Hermanos Ameijeiras de La Habana, Cuba, disertaron sobre las aplicaciones de la ecografía de alta potencia en la radiología de cabeza durante una sesión en español.
![]() |
| Dr. Orlando Valls Pérez. |
"La sonografía con Doppler transcraneano es una nueva aplicación ecográfica clínica y de investigación que permite realizar un examen no invasivo para evaluar la circulación y la perfusión cerebral y medir las velocidades del flujo sanguíneo en los vasos cerebrales", explicó Pérez.
El sistema tiene múltiples aplicaciones clínicas en la neurología, la cirugía y los accidentes cerebrovasculares, así como en la investigación, continuó. El hospital usa una técnica de pulsos con la emisión de sonidos de pulso de 2 MHz, muy baja frecuencia y alta potencia y un transductor de 7,5 MHz con Doppler dúplex codificado en color. El grupo usa escáneres Combison 420 y Voluson 530D fabricados por Kretz Austria (ahora una empresa de GE Medical Systems). Generalmente, se pueden obtener los datos del tejido cerebral a una distancia de 25 mm a 100 mm del transductor.
Entre las ventajas de la ecografía transcraneana se cuentan, para empezar, la no invasividad y el bajo costo, en comparación con otros métodos por imágenes. Según Pérez, el sistema examina la anatomía cerebral y los parámetros fisiológicos del flujo sanguíneo del paciente sin necesidad de levantarlo de la cama. En el hospital, la técnica ha evolucionado rápidamente convirtiéndose en una versátil herramienta de imágenes en tiempo real.
Las desventajas incluyen la dificultad de penetrar el muy denso hueso temporal, las variaciones anatómicas en la región del polígono de Willis, la asimetría de la lesión y al igual que todas las técnicas ecográficas, la necesidad de contar con un operador de alto nivel en cuanto a habilidad y experiencia.
En las aplicaciones neurológicas, la técnica se puede utilizar para detectar estenosis intracraneana y extracraneana y para evaluar la circulación colateral y la reactividad vasomotora. Pérez destacó que es una técnica que se utiliza en el diagnóstico preoperatorio de los aneurismas y las malformaciones arteriovenosas, así como en la detección de los tumores del sistema nervioso central y la necrosis cerebral al detectar la falta de circulación sanguínea.
"Las enfermedades cerebrovasculares se pueden detectar por el aumento o la disminución del flujo sanguíneo, la ausencia de flujo y los cambios espectrales", indicó Pérez. Al comparar los flujos de velocidad normal con los flujos medidos, también se puede evaluar la permeabilidad de los vasos. "Una vez que se conoce el flujo de sangre promedio de un vaso, se puede tener una muy buena idea de su fisiología", señaló.
![]() |
| Valores normales de la velocidad del flujo sanguíneo de los vasos intracraneanos. Gráfico cortesía del Dr. Orlando Valls Pérez. |
Los usos quirúrgicos de esta técnica incluyen el diagnóstico y seguimiento del vasoespasmo, la evaluación del traumatismo craneoencefálico, la detección de embolias y la evaluación postoperatoria para prevenir las complicaciones neurológicas. Se ha comprobado la utilidad de esta técnica en los procedimientos de neurorradiología intervensionista y durante la cirugía cardíaca, indicó Pérez.
"Es muy útil para el cirujano porque podemos localizar el tumor y estudiar sus características detalladamente. Podemos ver la relación entre el área de edema y los tejidos normales", expresó Brague.
Las aplicaciones en el accidente cerebrovascular incluyen el diagnóstico de la oclusión de la arteria cerebral media, el seguimiento de la reperfusión y la monitorización de la terapia trombolítica. En los casos de traumatismo cerebral, la técnica se ha utilizado de manera intraoperatoria para detectar embolias así como para el seguimiento clínico.
![]() |
| Dependiendo de la región a evaluar, la ecografía por Doppler transcraneano se realiza apoyando el transductor contra una de tres ventanas en la cabeza, incluyendo la ventana orbital (arriba), la ventana temporal (izquierda), y la ventana suboccipital (abajo). Imagen cortesía del Dr. Orlando Valls Pérez. |
No obstante, la detección de los aneurismas depende de que éstos sean lo suficientemente grandes como para ser visualizados, generalmente de un centímetro o más, y deben estar localizados dentro de los segmentos proximales de las arterias del polígono de Willis, explicó Pérez. Se caracterizan por la presencia de una imagen sacular, con un cambio en la dirección del flujo y con una baja velocidad del flujo dentro del aneurisma.
"Basándonos en los cambios en la dirección del flujo y la velocidad promedio, podemos caracterizar los aneurismas como leves, moderados o severos", dijo Pérez.
![]() |
| Aneurisma de la arteria basal en un hombre de 48 años. Imagen cortesía del Dr. Orlando Valls Pérez. |
Las malformaciones arteriovenosas se evalúan por medio de la identificación de "nidos" de los vasos sanguíneos malformados. Según Brague, se caracterizan por el aumento del flujo sanguíneo sistólico y diastólico con una disminución hemodinámica de la resistencia, así como por un incremento de la velocidad y turbulencia en la carótida extracraneana ipsolateral.
"En este paciente podemos observar el 'nido' completo de la malformación e identificar, en este caso, una arteria cerebral media muy dilatada, con un flujo rápido y altos valores diastólicos constantes", opinó la doctora.
Los tumores cerebrales se pueden identificar como masas ecogénicas rodeadas por un halo hipoecoico. Las masas heterogéneas pueden ser consecuencia de necrosis, quistes o calcificaciones.
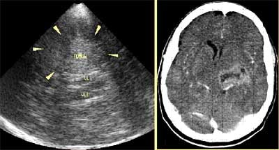
![]() |
| Teratoma cerebral en un paciente de sexo masculino de 56 años de edad (izquierda) con correlación tomográfica (derecha) Imagen cortesía del Dr. Orlando Valls Pérez. |
"Durante el procedimiento quirúrgico, (la ecografía con Doppler transcraneano) guía la mano del cirujano que está tratando de separar el tejido normal del anormal", en las aspiraciones con aguja fina y los procedimientos para reducir los volúmenes de los tumores quísticos al utilizar técnicas por aspiración, explicó Pérez. "Ayuda a prevenir la hemorragia y a preservar más tejido normal."
Por Eric BarnesRedacción de AuntMinnie.com
Copyright © 2002 AuntMinnie.com. Todos los derechos reservados.























