
CANCÚN, MÉXICO – Los radiólogos de todo el mundo que se reunieron en este lugar para la apertura del Congreso Internacional de Radiología, aprendieron cómo el diagnóstico y el tratamiento por imágenes enfrentan una crisis global de la salud. Quien lo ilustró fue el Dr. Peter Corr, profesor de radiología de la Universidad de Natal, Facultad de Medicina Nelson R. Mandela, en Sudáfrica. Corr disertó acerca del SIDA y específicamente acerca de las imágenes de los trastornos del sistema nervioso central (SNC) relacionados con el SIDA. Los radiólogos pueden jugar un papel crucial en el manejo de la enfermedad por VIH, dijo.
Se estima que en el mundo hay 47 millones de personas que en este momento son VIH positivos, el total aumentó 7 millones desde fines de 2001, cuando la Organización Mundial de la Salud publicó las cifras más recientes, manifestó Corr. Además, se calcula que 28 millones de los casos de VIH positivos se encuentran en África, donde la epidemia recientemente se ha desplazado desde el norte hacia el sur debido a que las personas viajan por el continente. "El treinta por ciento de los pacientes con SIDA tienen algún tipo de enfermedad neurológica", expresó Corr.
"Causa una morbididad y mortalidad significativa en estos pacientes, y ustedes, como radiólogos muchas veces pueden marcar la diferencia, ya que hay medicamentos antirretrovirales disponibles y las infecciones se pueden tratar." La radiología tiene su mayor repercusión en los primeros estadios de la enfermedad. El papel del radiólogo es detectar y caracterizar las lesiones focales, quizás señalar una biopsia estereotáctica al sistema nervioso central y evaluar la respuesta al tratamiento. Corr habló sobre el espectro de las complicaciones neurológicas del SIDA, desde la encefalitis aguda hasta la neuropatía periférica, comenzando con la infección encefálica temprana por VIH.
El VIH, un retrovirus de ARN que muta rápidamente, no infecta las neuronas, dijo Corr. En lugar de ello, ataca las estructuras celulares que sirven de apoyo al cerebro; la microglía y los macrófagos, explicó. En los primeros estadios de la enfermedad, los pacientes presentan manifestaciones clínicas tales como cefalea, rigidez, mononucleosis o fiebres glandulares, mientras que pueden tener TC (tomografías computarizadas) o IRM (imágenes por resonancia magnética) normales. Sin embargo, a veces se observan anomalías tales como la encéfalomielitis diseminada aguda. En el primer estadio de la enfermedad por VIH, frecuentemente hay infiltración linfocítica perivenular, especialmente en la interfaz entre la sustancia gris y la blanca, indicó Corr. A menudo, la infiltración se ve en la IRM como parches en la sustancia blanca subcortical y en los ganglios basales.
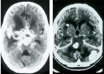
![]() |
| Infiltración perivenular en el cerebro de un paciente VIH positivo. Imágenes cortesía del Dr. Peter Corr. |
La encefalopatía por VIH es compatible con la demencia, y particularmente afecta la sustancia blanca profunda del cerebro. Se presenta en un tercio de todos los pacientes infectados por VIH, en especial cuando el recuento de linfocitos (CD-4) es menor a 100 células por milímetro cúbico, expresó Corr.
Los antígenos capsulares que resultan del VIH son neurotóxicos, originando la formación de nódulos microgliales alrededor de las neuronas, lo que conduce a una leucoencefalopatía progresiva, continuó. "Lo que se ve es la atrofia cerebral que se desarrolla con el tiempo, y puede que uno reciba un paciente joven de entre 40 y 50 años que tenga el cerebro de una persona de 70 años", expresó Corr. "En la RM se ven hiperintensidades periventriculares que luego de la administración de gadolinio no se realzan." De igual modo, la TC puede mostrar una marcada atrofia global de la sustancia blanca.
La toxoplasmosis es un parásito intracelular protozoario que probablemente sea la infección oportunista más frecuente en los pacientes con SIDA. Es muy importante identificar a la toxoplasmosis porque su respuesta al tratamiento es buena. La TC y la RM quizás no sean específicas, pero, a veces, el radiólogo puede encontrar un absceso con realce indicativo del reborde, especialmente en los ganglios basales y con compromiso cortical.
![]() |
| Infección por toxoplasmosis del cerebro de un paciente VIH positivo. Imágenes cortesía del Dr. Peter Corr. |
La tuberculosis también es común en los pacientes con SIDA, agregó Corr. Los linfocitos infectados por el VIH producen menos interferón gamma que su contraparte normal, y por lo tanto tienen menos resistencia a la microbacteria que provoca la tuberculosis.
"En la tuberculosis, clásicamente vemos una meningitis, la vasculitis es muy común, vemos granulomas o tuberculomas y vemos un absceso por tuberculosis", manifestó. "En los pacientes con SIDA que desarrollan tuberculosis encontramos muchas imágenes atípicas." Sin embargo, la administración de gadolinio durante la RM frecuentemente puede ser de ayuda diagnóstica mostrando el realce del reborde de las lesiones provocadas por la tuberculosis.
En los pacientes infectados con el VIH, la sífilis es otra infección común. En muchos casos, la sífilis meningovascular clásica se presenta en combinación con un accidente cerebrovascular o meningitis. Muchos pacientes tienen sifilomas o masas parenquimatosas en el cerebro y la columna.
La leucoencefalopatía multifocal progresiva (su sigla en inglés es PML) está causada por el virus Papova que destruye los oligodendrocitos del cerebro y causa la destrucción de la mielina. Es una lesión progresiva pero es raro que quien la sufre tenga demencia. En general, las lesiones se observan en los lóbulos occipitales. Son asimétricas y al administrar el agente de contraste en la IRM no se observa realce. Los pacientes con PML generalmente mueren dentro de los seis primeros meses de realizado el diagnóstico, afirmó Corr.
El citomegalovirus (CMV) es muy común y en general se presenta cuando el recuento linfocitario del paciente es inferior a 100 células por milímetro cúbico. El CMV origina ventriculitis, encefalitis aguda y compromiso de la retina.
"Si sospecha que el paciente está infectado por CMV, se debe siempre estudiar la retina para verificar la presencia de pequeñas lesiones blancas. Pero más comúnmente, provoca una dolorosa radículomielitis. Al principio, las imágenes pueden ser normales pero si se sospecha el diagnóstico, se debe administrar un agente de contraste", El mayor estudio por imágenes para detectar el CMV se realiza por medio de RM ponderada en T1 realzada con gadolinio. Este agente de contraste realza las vainas radiculares del saco tecal.
La infección fúngica más común en los pacientes con SIDA es la criptococosis y aunque esta infección puede imitar a la meningitis por tuberculosis, a veces sólo las imágenes pueden detectar la diferencia entre ambas. La criptococosis tiende a diseminarse comprometiendo los espacios perivasculares desde la base del cráneo, formando pequeños quistes o masas ocasionales que se pueden ver por TC o IRM. En el laboratorio es importante buscar la presencia de criptococos por medio de la tinción con tinta china. El tratamiento, aunque prolongado, frecuentemente es efectivo, expresó.
![]() |
| Infección cerebral por criptococos en el VIH. Imágenes cortesía del Dr. Peter Corr. |
Uno de los diagnósticos diferenciales de la toxoplasmosis es el linfoma no Hodgkin de células B. La espectroscopía por RM puede ser de utilidad diagnóstica porque en el linfoma el pico de colina está elevado a diferencia de lo que ocurre en la toxoplasmosis, indicó Corr. En muchos casos, el linfoma compromete los ganglios basales y el cuerpo calloso. Puede estar en la íntima o en las meninges, y lo que es muy importante es que puede ser multicéntrico, agregó Corr.
La vasculopatía es otro componente importante de la presentación neurológica del SIDA y la puede causar cualquier infección, dijo Corr. Los niños pueden presentar calcificaciones de la corteza cerebral y frecuentemente aneurismas en el polígono de Willis o en la carótida extracraneana. Las enfermedades embólicas, incluyendo la endocarditis y la miocardiopatía se encuentran entre las patologías vasculares más frecuentes en las arterias de tamaño mediano de la cabeza y el cuello.
En la infección por VIH también puede haber compromiso de la médula espinal. Las autopsias realizadas en pacientes con SIDA muestran que el 40% tenía infección de la médula espinal, dijo Corr. El VIH puede causar mielopatía vacuolar que se asemeja a la degeneración subaguda combinada de la médula espinal, similar a la observada en pacientes con deficiencia de la vitamina B12.
Sin embargo, la mielitis debido al CMV, VIH o al virus de la varicela es la forma más frecuente de compromiso de la médula espinal. Al tomar imagines de tales pacientes, es importante usar contraste y tomar imágenes de toda la médula espinal, manifestó Es necesario buscar la hinchazón de las vainas de mielina y de las vacuolas que aparecen entre ellas.
Las lesiones intradurales, especialmente las que se relacionan al CMV y a la tuberculosis también se observan en pacientes VIH positivos. Los granulomas leptomeningeos también son frecuentes y en la IRM ponderada en T2 se ven como lesiones de baja intensidad.
La neuropatía periférica radicular es una afección dolorosa que es muy discapacitante, dijo Corr.
"Al tomar imágenes de los pacientes (con neuropatía periférica radicular), es importante tomar imágenes axiales ponderadas en T1 antes y después de la administración de gadolinio", explicó. "Casi se encienden como bombillas eléctricas, imagen muy característica de la radiculomielopatía por CMV."
Corr espera que cambie el espectro de infecciones oportunistas a medida que se disponga cada vez más de fármacos antirretrovirales en Sudáfrica.
"Nuestros pacientes logran efectivamente vivir más y siempre vuelven para que les realicemos más estudios por imágenes", expresó. "Es importante que nos demos cuenta de que estos pacientes muchas veces tienen múltiples infecciones y debemos correlacionar nuestros hallazgos en las imágenes con los síntomas clínicos, y los signos del LCR y de los resultados de los análisis al interpretar las imágenes."
Por Eric BarnesRedacción de AuntMinnie.com
Copyright © 2002 AuntMinnie.com. Todos los derechos reservados.





















