
Chinese infants who ingested baby formula contaminated with industrial chemicals demonstrated signs of urinary obstruction that can be visualized on CT and sonography exams, according to a new study published in the March issue of the American Journal of Roentgenology.
In September 2008, the world was shocked by news that thousands of infants in China had become ill after being fed powdered baby formula contaminated with the industrial chemicals melamine and cyanuric acid. Xinhua, the Chinese government-run news agency, reported that hospitals were being overwhelmed by concerned parents bringing both ill and healthy infants to be examined.
Melamine containing cyanuric acid had been added to raw milk diluted with water to show acceptable nitrogen content when the milk was tested. Melamine most commonly is in the form of white crystals rich in nitrogen, and it is widely used in plastics, adhesives, and fertilizers.
The Ministry of Health of the People's Republic of China reported in late September that nearly 13,000 infants had become ill and at least three had died, but Western journalists based in China believed that the number of infants affected was significantly greater. An article filed by Richard Spencer of the London Telegraph on December 24, 2008, reported that as many as 300,000 infants became ill and at least six infants had died.
Imaging presentation
What were the clinical symptoms? Chinese radiologists using CT and ultrasound found that the majority of afflicted infants presented with symptoms of urinary obstruction, according to the first English-language peer-review article on the subject, published in the March 2009 issue of AJR (2009, Vol. 192, pp. 707-710).
Between July and September 2008, 16 infants who had ingested contaminated baby formula were treated at the General Hospital of Lanzhou Command PLA and the Hospital of Gansu Armed Police Forces, both located in Lanzhou in the Gansu province. The infants ranged in age from 3 to 16 months and developed clinical symptoms on average within two weeks.
However, lead author Dr. Fang-yuan Ren, a radiologist at the General Hospital of Lanzhou Command PLA, and colleagues reported that the infants developed symptoms as soon as 24 hours and as long as 10 weeks after drinking the contaminated formula.
The most common symptom was urinary obstruction (13 cases). Veterinarians had reported that this was the most common symptom in animals that had been fed similarly contaminated pet food. Other symptoms of the infants included fever (6), nausea (1), vomiting (3), anorexia (2), urine retention (1), crystalluria (2), hematuria (1), and convulsions (1).
All of the patients had abdominal sonography examinations and 14 patients also had abdominal CT exams. In addition, two patients had chest CT exams and one patient having convulsions had a head CT exam.
![]() |
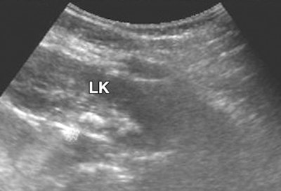
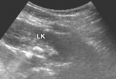
| Eight-month-old female infant with two-day history of anuria and fever who had been exposed to infant milk formula contaminated with melamine and cyanuric acid for eight months. Sonography image of left kidney (LK) shows hyperechoic crescent-shaped calculus in renal pelvis without hydronephrosis. All images reprinted with permission from the American Journal of Roentgenology. |
Diagnostic imaging displayed calculi formation of the urinary tract, with calculi varying greatly in size and shape, according to the authors. Fourteen patients had multiple calculi and 12 patients had bilateral calculi. A total of 51 calculi were identified.
The 37 renal calculi observed were oval, staghorn, or punctiform and were not measured because they varied greatly in size and shape. The 14 ureteral calculi were oval in shape and averaged 8 x 5 mm in size, with a range of 4 x 3 mm to 11 x 8 mm.
![]() |
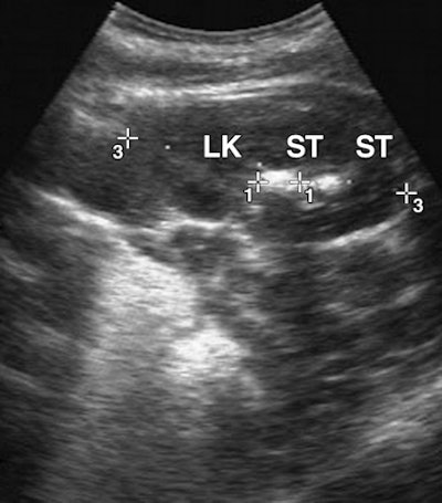
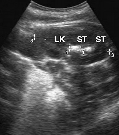
| Ten-month-old male infant with seven-day history of dysuria and vomiting who had been exposed to infant milk formula contaminated with melamine and cyanuric acid for 10 months. Sonography images show multiple hyperechoic calculi in bilateral kidneys. LK = left kidney, ST = stone. |
The calculi formation of the urinary tract also caused hydronephrosis, the cystic distension of the kidney. Seventeen kidneys in 13 patients were affected. The calculi that led to hydronephrosis were located in the ureteropelvic junction (eight kidneys), renal pelvis (five kidneys), stricture cross of the branch of the iliac artery (two kidneys), and ureterovesical junction (one kidney). Two of the patients had overfilled bladders and one patient had a perirenal hematoma.
The authors noted that the relative novelty of melamine poisoning means that patients can often be misdiagnosed. "Because of a lack of awareness of and experience with this condition, four cases were initially misdiagnosed (one as acute gastroenteritis, one as febrile convulsion, and two as an upper respiratory tract infection)," they wrote.
The authors concluded by stating that patients exposed to food contaminated with melamine and cyanuric acid present with pathology that's visible on CT and ultrasound, including "multiple calculi formed in the urinary tract that vary greatly in size and shape. The calculi are loose and fragile and may be discharged spontaneously."
By Cynthia E. Keen
AuntMinnie.com staff writer
March 2, 2009
Copyright © 2009 AuntMinnie.com




















