
VIENNA - Is photon-counting CT (PCCT) a game changer in the medical imaging field or an instance of incremental progress in the modality?
It's definitely a game changer, according to a panel of researchers who kicked off ECR 2023 with an overview of the technology. Session facilitator Paddy Gilligan, PhD, of Mater Misericordiae University Hospital in Dublin lauded its benefits.
"Initial clinical [results suggest that PCCT offers] higher resolution images, greater dose efficiency, and the possibility of spectral CT," he said.
Better image quality and a lower radiation dose
Dr. Kirsten Nygaard Bolstad of Haukeland University Hospital in Bergen, Norway, agreed. "The physics of photon-counting CT is a game changer in the field of medical imaging," she said. "Unlike traditional CT scanners that use energy-integrating detectors, photon-counting CT uses photon-counting detectors that can directly measure the energy of individual photons," she said.
PCCT produces images without electronic noise, improved tissue characterization, and optimized spectral imaging while using less iodine and radiation.
Dr. Marc Kachelriess of the German Cancer Research Center in Heidelberg expanded on the pros of PCCT, describing how the lack of electronic noise translates to a lower radiation dose, particularly for infants, and less noise for studies of obese patients. Additionally, Kachelriess listed other benefits, including how PCCT offers an improved iodine contrast-to-noise ratio, as well as spectral information on demand, and how its smaller pixels lead to higher spatial resolution.
"PCCT offers several advantages ... [and] outperforms all energy-integrating detector CT systems by far," he noted.
Better use of iodine
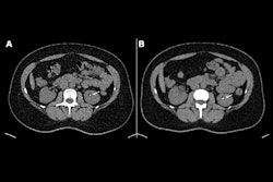
PCCT improves the iodine contrast-to-noise ratio, noted Lucie Sukupova, PhD, of the Institute for Clinical and Experimental Medicine in Prague.
"The equal weighting of photons of all energies ... [produces higher attenuation in iodine] compared to energy-integrating detector CT, which means [a] lower contrast medium dose is needed to get the same contrast-to-noise ratio as before or [a] lower radiation dose is needed to get the same contrast-to-noise ratio as before," she said.
Lower radiation burden
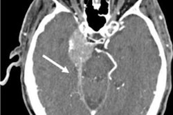
PCCT's ability to produce high-quality images at lower radiation doses compared to conventional CT could lead to better patient care, said Dr. Dominik Juskanic of the National Cancer Institute Slovakia in Bratislava.
"[PCCT technology means] it's safe to go low dose in chest imaging and opens doors to CT-based cancer screening, [as well as conditions such as] connective tissue disease-associated interstitial lung disease and long COVID screening," he said.
There is a learning curve with the technology, he cautioned, including getting used to different contrast-to-noise and signal-to-noise relationships, Hounsfield unit changes in image reconstructions, and becoming aware of subtle enhancements that haven't been visible on conventional CT. There are also workflow challenges, including increased protocol complexity an increased number of slices to deal with, and postprocessing variability, he noted.
Benefits aside, the task going forward with PCCT is how it will be integrated into clinical practice, according to Bolstad.
"The technology is actually not new ... but the challenge has been to detect and read the signal fast enough for clinical use," she said. "[We're now at a point where] CT vendors have developed the technology so that [it can do this]."




















