
Riverain of Miamisburg, OH, will demonstrate continued improvements in the algorithm for the company's RapidScreen Digital software, and will also talk up the improving reimbursement situation for computer-aided detection (CAD) lung studies with digital radiography.

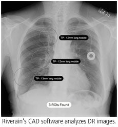
Since the 2005 RSNA show, Riverain has made improvements in RapidScreen's CAD algorithm that boost the software's sensitivity and specificity. The number of false positives produced by the software has also declined, down to three per study.
In addition, Riverain will demonstrate the ability to integrate the software with PACS workstations. Radiologists can now receive CAD markings automatically when they pull up anteroposterior (AP) and lateral chest studies for primary review, according to the company.
Finally, Riverain will discuss the growing number of third-party payors that are now reimbursing for chest CAD studies, a trend that began earlier in 2006. A recent analysis indicated that chest CAD is reimbursed by 52 national, regional, and local payors representing over 60 million covered lives. Chest CAD users are receiving between $10 and $27 per study for CAD.
By Brian Casey
AuntMinnie.com staff writer
November 3, 2006
Copyright © 2006 AuntMinnie.com



















