
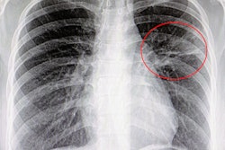
KA Imaging recently branded the patented dual-energy technology built into its Reveal 35C detector, naming it "SpectralDR."
The SpectralDR technology enables dual-energy subtraction, providing bone and tissue differentiation with a single standard x-ray exposure. It acquires three images simultaneously (digital radiography, bone, and soft tissue dual-energy x-ray images). The technology mimics the workflow, dose, and techniques of mobile digital x-ray detectors.
Reveal 35C is the company's single-exposure, dual-energy flat-panel x-ray detector designed for use in fixed, mobile, and portable settings, KA Imaging said. The company recently secured marketing clearance for Reveal 35C in Canada, the U.S., and Australia.



















