
A new PET radiopharmaceutical based on carbon-11-labeled sarcosine (C-11 sarcosine) could offer an alternative to choline-11-based PET for imaging patients with prostate cancer, according to a study published in the Journal of Nuclear Medicine.
The group from the University of Michigan published a paper of its early clinical results with C-11 sarcosine compared with C-11 choline in a mouse model, and the team also published the first image with the radiotracer in a human with prostate cancer. The study was published in the August issue of JNM (Vol. 58:8, pp. 1216-1223), with Dr. Morand Piert as the lead author.
Prostate cancer is the second most deadly cancer in men, according to data from the U.S. Centers for Disease Control and Prevention, the authors noted. Sarcosine is an amino acid that is the byproduct of the synthesis and degradation of glycine, and it can play a role in the aggressiveness and progression of prostate cancer.
Sarcosine can be an excellent target for PET imaging because it enters cells by way of proton-coupled amino acid transporters (PAT), which are overexpressed in certain tissues and solid tumors. The question has been whether PAT expression is elevated in prostate cancer tumors.
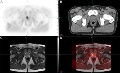
The researchers performed C-11 sarcosine PET studies in two mice with prostate cancer and one human with localized prostate cancer characterized as Gleason 4 + 3. PET studies with C-11 choline also were performed for comparison.

The researchers found that in the mouse models, the C-11 sarcosine studies showed elevated levels of tumor-to-background ratio compared with the C-11 choline studies. In the human case, C-11 sarcosine PET produced high-contrast images. Additional analysis of target metabolites found that levels of sarcosine, glycine, and choline were higher in localized prostate cancer compared with benign tissue.
The findings indicate that C-11 sarcosine is a viable tracer for prostate cancer imaging with possible advantages over choline-11, Piert noted in a release issued by the Society of Nuclear Medicine and Molecular Imaging.
"Given the link between [C-11 sarcosine] cell uptake and PAT transport, the study provides first evidence that PAT expression can be elevated in prostate cancer," Piert stated.
C-11 sarcosine could also identify and characterize other types of cancer, as PATs play roles as multipurpose carriers with distinct roles in different cells. For example, in the brain, PATs are involved in the neuronal amino acid transport, while in the intestinal tract some PATs play roles as transporters of nutrients and drugs.