
Major complications after uterine fibroid embolization (UFE) or uterine artery embolization (UAE) are infrequent. One study of 400 cases found a respectable complication rate of 1.25%. But when there are postprocedure problems, they can be quite serious, as illustrated by two case reports.
First, a group from the University of Pennsylvania Hospital and School of Medicine in Philadelphia described uterine necrosis in a patient who underwent UAE for uterine leiomyomata. She ultimately required a hysterectomy, according to lead author Dr. Drew Torigian.
"We hypothesize that uterine necrosis in our patient resulted from insufficient collateral circulation to the uterus, although the underlying reason for this is unknown," wrote Torigian and colleagues in the American Journal of Roentgenology (February 2005, Vol. 184:2, pp. 555-559).
Prior to UAE, the 47-year-old premenopausal woman first underwent pelvic MRI, which showed enlargement of the uterus because of multiple predominantly intramural leiomyomata (0.7-5.7 cm). All but two showed enhancement on gadolinium-enhanced, T1-weighted imaging.
The patient underwent bilateral UAE with polyvinyl alcohol (PVA) particles; four days later, she turned up at the emergency department with multiple symptoms, including a high fever and acute lower abdominal pain. A repeat pelvic MRI revealed that there had been no change in the size or number of leiomyomata.
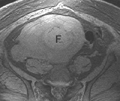
![]() |
| Forty-seven-year-old woman four days after UAE. Axial, T2-weighted, fat-suppressed, out-of-phase, gradient-echo image obtained through uterus shows high signal intensity of uterine leiomyoma (F) relative to skeletal muscle due to coagulative necrosis and intermediate to high signal intensity of surrounding necrotic uterine myometrium. Torigian DA, Siegelman ES, Terhune KP, Butts SF, Blasco L, Shlansky-Goldberg RD, "MRI of Uterine Necrosis After Uterine Artery Embolization for Treatment of Uterine Leiomyomata" (AJR 2005; 184:555-559). |
In addition, "most of the surrounding uterine myometrium now showed intermediate to high signal intensity on T1-weighted images," the authors wrote. "A diagnosis of near-total uterine necrosis was made, and the patient subsequently underwent a total abdominal hysterectomy.... Necrosis of the endometrium was also present, along with partial or complete occlusion of multiple uterine arterial branches by PVA particles."
They suggested that the MR signs of uterine myometrium necrosis include intermediate to high signal intensity on T1-weighted images, a lack of early and delayed enhancement, and a lack of endometrial enhancement on gadolinium images.
In a second case, Canadian urologists reported on ureteric obstruction after UFE that required nephrectomy. Their patient was a 40-year-old woman who underwent UFE with no complications during, or immediately after, the procedure. Her kidney appeared normal on ultrasound prior to UFE.
But three years later, "she began to develop intermittent right flank and lower quadrant pain," wrote Dr. Stephen Lazarou and Dr. Sender Herschorn from the University of Toronto in Ontario, Canada (Canadian Journal of Urology, February 2005, Vol. 12:1, pp. 2553-2554).
Ultrasound and nuclear imaging tests showed a nonfunctioning hydronephrotic right kidney. An additional CT scan also showed severe right hydroureteronephrosis to an area consistent with the UFE procedure, the authors reported.
The patient elected to have right laparoscopic nephrectomy, after which her pain subsided. Final pathology revealed a hydronephrotic right kidney with chronic obstructive uropathy.
Lazarou and Herschorn recommended that physicians be aware of this potential problem after UFE. "Renal imaging may be indicated in the presence of flank pain after this procedure," they wrote.
By Shalmali Pal
AuntMinnie.com staff writer
June 13, 2005
Related Reading
Digital flat-panel UFE guidance cuts skin radiation dose, April 6, 2005
Latest UFE studies show importance of both fibroid and particle size, April 5, 2005
Suture-mediated closure puts UAE patients back on their feet sooner, March 30, 2005
Pregnancy possible after uterine artery embolization for leiomyomata, December 29, 2004
Copyright © 2005 AuntMinnie.com




.fFmgij6Hin.png?auto=compress%2Cformat&fit=crop&h=100&q=70&w=100)




.fFmgij6Hin.png?auto=compress%2Cformat&fit=crop&h=167&q=70&w=250)











