
Diffusion-tensor MRI (DTI-MRI) could play a key role in predicting military veterans' functional postdeployment outcomes -- such as how soon they return to work -- following a mild traumatic brain injury (TBI) during combat, according to a new study published online March 29 in Radiology.
Researchers from the Philadelphia Veterans Affairs (VA) Medical Center are optimistic their findings will overcome current challenges in differentiating between the effects of mild TBI, or concussion, from those of other conditions, such as post-traumatic stress disorder (PTSD).
Mild TBI has become an escalating public health issue, especially among military personnel during and after deployment. The Armed Forces Health Surveillance Center estimates that more than 300,000 U.S. service members were diagnosed with mild TBI between 2000 and 2015.
Lead author Dr. Jeffrey Ware and colleagues used DTI and MRI to study 57 military veterans who had a clinical diagnosis of mild TBI following deployment. The average length of time between injury and postdeployment evaluation was 3.8 years, with an average follow-up duration of 1.4 years (Radiology, March 29, 2016).
The researchers used DTI-MRI to detect abnormalities in the brain, particularly in the white matter, via measurements of water movement. They compared the results to clinical measures and patient outcomes six months to 2.5 years after the initial evaluation.
Ware and colleagues found significant associations between initial postdeployment DTI measurements and neurobehavioral symptoms, timing of injury, and subsequent functional outcomes. The measurements also correlated with greater use of healthcare services among veterans with mild TBI. All conventional MR images were interpreted as normal.
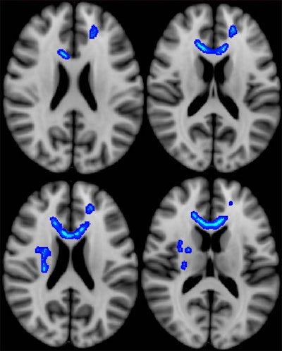
 Diffusion-tensor MR images show regions of the brain (blue) in which lower fractional anisotropy correlates with more severe neurobehavioral symptoms. Veterans with the most severe symptoms had lower microstructural integrity in these regions. Image courtesy of Radiology.
Diffusion-tensor MR images show regions of the brain (blue) in which lower fractional anisotropy correlates with more severe neurobehavioral symptoms. Veterans with the most severe symptoms had lower microstructural integrity in these regions. Image courtesy of Radiology.Following initial postdeployment evaluation, 34 study participants (60%) returned to work. Veterans who did not return to work displayed significantly lower fractional anisotropy and higher diffusivity, which suggest less structural integrity, in the left internal capsule, which is associated with motor stimulation to the typically dominant right side of the body.
Thus, the results may provide a connection between impairments in fine motor functioning and the injured veterans' inability to return to work.
"Our findings suggest that differences in white-matter microstructure may partially account for the variance in functional outcomes among this population. In particular, loss of white-matter integrity has a direct, measurable effect," Ware said in a statement.



.fFmgij6Hin.png?auto=compress%2Cformat&fit=crop&h=100&q=70&w=100)




.fFmgij6Hin.png?auto=compress%2Cformat&fit=crop&h=167&q=70&w=250)











