
In-bore MRI-guided biopsy following a positive transrectal ultrasound (TRUS)-guided prostate biopsy finds missed cancers and improves disease assessment, according to a study published September 25 in Radiology: Imaging Cancer.
The results offer clinicians an additional way to confirm prostate cancer diagnosis and direct treatment, wrote a team led by Dr. Kareem Elfatairy of Emory University in Atlanta.
"Performing confirmatory in-bore MRI-guided biopsy following positive transrectal US-guided biopsy [results] in a high disease-upgrade incidence with subsequently improved disease-risk stratification, particularly when considering patients for active surveillance or focal therapy," the group wrote.
Men diagnosed with low-risk prostate cancer -- and some with intermediate-risk disease -- are candidates for active surveillance rather than immediate treatment, the researchers noted. TRUS guidance is the current standard for diagnosing prostate cancer and evaluating disease risk, but it can miss cancers and underestimate Gleason scores.

"A complete dependence on transrectal ultrasound-guided biopsy results can lead to improper disease-risk stratification and may jeopardize the opportunity for active treatment, with increased risk of disease progression and likelihood of metastasis," the team noted. "Multiparametric MRI and MRI-targeted biopsy are being increasingly utilized for the diagnosis of prostate cancer. They facilitate direct visualization and targeting of suspicious foci ... [and] MRI-targeted biopsies have been shown to enable higher detection of clinically significant cancers, enable more accurate tumor grading, and have complication rates comparable to those of transrectal ultrasound-guided biopsy."
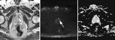
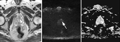
Elfatairy's group conducted a study that included 40 men who underwent TRUS-guided biopsy, received results positive for prostate cancer, and then underwent multiparametric MRI before an in-bore MRI-guided biopsy between 2012 and 2016.
The team found that the overall cancer detection rate for MRI-guided biopsy was 65%. But MRI also found 14 previously unidentified cancers, 57.1% of which were clinically significant. The MRI biopsy led to upgraded disease severity in 40% of cases; only one case was downgraded to a lower Gleason score.
The investigators also found the following:
- 80% of positive results on ultrasound-guided biopsy were also identified on MRI; of these, MRI-guided biopsy results were positive in 52.6%.
- MRI-guided biopsy upgraded 60% and downgraded 3.3% of detected lesions.
The study findings suggest a way to mitigate the limitations of TRUS-guided biopsy, wrote Dr. Clifford Weiss and Dr. Alex Solomon, both of Johns Hopkins University in Baltimore, in an accompanying editorial.
"Overall, this study demonstrates that complementary in-bore MRI-guided biopsy following positive transrectal ultrasound-guided biopsy results in a high incidence of disease upgrade and the identification of multiple new foci of prostate cancer and is superior to repeat transrectal ultrasound-guided biopsy," Weiss and Solomon wrote. "While the optimal implementation of in-bore MRI-guided biopsy continues to evolve in the clinical setting, it may play a critical role in the identification and treatment of prostate cancer."