Radiation oncology firm Varian Medical Systems said Moinhos de Vento Hospital is the first cancer center in Brazil to begin using its Calypso system.
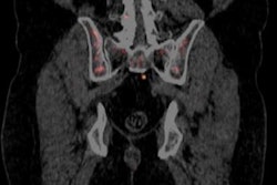
The system was used with a Varian TrueBeam medical linear accelerator to treat a prostate cancer patient on January 10, Varian said. Calypso can detect slight movements of a tumor, enabling it to be targeted accurately with the treatment beam.
The Calypso beacon system implants transponders into the tumor that emit nonionizing electromagnetic signals; these signals are tracked in real-time and used to keep a treatment beam on target.


















