
While conventional diagnostic ultrasound understandably offers higher sensitivity and specificity, point-of-care ultrasound can yield a valuable level of accuracy for low-resource settings, according to research published in the July issue of the Journal of Ultrasound in Medicine.
In a prospective study involving nearly 50 patients and ultrasound studies in abdominal, retroperitoneal, and obstetrical applications, a research team led by Dr. Steffen Haider from Dartmouth-Hitchcock Medical Center in Lebanon, NH, found that point-of-care ultrasound produced 74% overall diagnostic accuracy, nearly as high as the 84% accuracy from conventional sonography. While noting that clinicians in low-resource environments should temper their diagnoses when image quality is suboptimal or diagnostic confidence is equivocal, the researchers concluded that point-of-care ultrasound is a reliable diagnostic tool over a range of focused indications and diagnoses.
"Hence, [point-of-care] ultrasound would appear to be a worthwhile device to implement or deploy in low-resource settings," they wrote.
A clinically significant effect
A number of studies have shown that point-of-care ultrasound systems have yielded a clinically significant impact on diagnosis and patient management in low- and middle-income countries. In research conducted in high-income countries, a limited number of studies have also found that point-of-care ultrasound had similar accuracy to conventional ultrasound for specific conditions such as evaluating for an abdominal aortic aneurysm or post-transplant liver evaluation, according to the researchers (J Ultrasound Med, July 2017, Vol. 36:7, pp. 1453-1460).
"However, [point-of-care] ultrasound was less accurate than conventional in a general diagnostic setting for abdominal, thoracic, and cardiac sonography," the authors wrote.
As a result, the research team set out to compare the diagnostic accuracy of a handheld point-of-care ultrasound system with conventional ultrasound for evaluating patients with common indications and diagnoses. Secondarily, the group wanted to inform expectations for point-of-care ultrasound accuracy when used in lieu of conventional systems and without CT as a backup.
"We hypothesized that there could be parity, in some cases, for the diagnostic accuracy of [point-of-care] and conventional sonography for general abdominal, renal, and obstetric indications," the authors wrote. "A secondary goal of this study was to assess [point-of-care] ultrasound for obstetrical indications, particularly given the expanded use of laptop-based, compact ultrasound systems for antenatal care in resource-limited settings."
Over a three-month period in 2010, 47 patients at a single academic medical center received 54 clinical conventional ultrasound exams as well as point-of-care ultrasound studies. Of the studies, 48% were for abdominal indications, while 26% were for retroperitoneal and 24% were for obstetrical applications. In addition, 87% of the studies had at least one pathologic or variant anatomic abnormality.
The conventional ultrasound studies were performed by sonographers certified by the American Registry for Diagnostic Medical Sonographers (ARDMS) on an HD-5000 (Philips Healthcare), IU-22 (Philips), E-8 (GE Healthcare), or Antares (Siemens Healthineers) scanner. The study's senior author, Dr. Robert Harris, read the exams immediately after they were performed; these interpretations served as the reference diagnostic standard and were confirmed or modified one year after patient enrollment based on further clinical evaluation and follow-up, laboratory/pathologic data, and additional imaging studies. Harris, who has 23 years of general ultrasound experience and 10 years of compact ultrasound experience, then performed all point-of-care ultrasound studies using a SonoSite 180 Plus scanner (Fujifilm SonoSite). The point-of-care exams were targeted, focused exams that took two to three minutes to perform.
For the study, nine blinded readers -- two sonographers, two radiology residents, and five board-certified radiologists -- first assigned diagnoses to all point-of-care ultrasound studies, followed by conventional ultrasound. The readers also rated their diagnostic confidence on a scale of 1 (no confidence) to 5 (total confidence) and assessed the image quality of the point-of-care ultrasound studies on a scale of 1 (uninterpretable) to 5 (excellent).
Higher accuracy
Conventional sonography offered higher overall diagnostic accuracy than point-of-care ultrasound.
| Overall performance of point-of-care US and conventional US | ||
| Point-of-care ultrasound | Conventional ultrasound | |
| Sensitivity | 75% | 85% |
| Specificity | 68% | 83% |
| Diagnostic accuracy | 74% | 84% |
This statistically significant difference in accuracy (p < 0.001) was constant, regardless of reader, exam type, or patient body mass index.
"The disparity in diagnostic accuracy was partly explained by a greater variation in image quality and diagnostic confidence in [point-of-care] sonography," the authors wrote. "Conventional ultrasound demonstrated higher sensitivity and specificity for detecting pathology and anatomic variation."
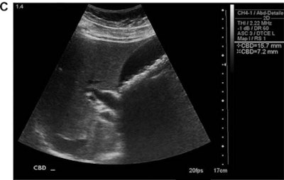
Case of cholelithiasis with dilated common bile duct that was correctly diagnosed by all readers on both point-of-care ultrasound and conventional ultrasound. (A, above) Relatively poor-resolution point-of-care ultrasound image demonstrating innumerable dependent gallstones without gallbladder wall thickening. (B, above) Point-of-care image demonstrating a common bile duct dilated to 1.9 cm. (C, below) Higher-resolution conventional image demonstrating cholelithiasis and a dilated common bile duct. All images courtesy of the Journal of Ultrasound in Medicine.
Reader confidence
The readers assigned high diagnostic confidence ratings (a score of 4 or 5) to 60% of point-of-care ultrasound exams, compared with 91% of the companion conventional ultrasound studies. Notably, there was no difference in accuracy between point-of-care ultrasound and conventional ultrasound when reader diagnostic confidence was similar, according to the researchers.
High image-quality scores (4 or 5) were given to just 27% of point-of-care ultrasound studies, and reader accuracy was lower in point-of-care ultrasound studies with an image quality rating of 3 or less.
"Resource-limited clinicians who rely on [point-of-care] sonography should temper diagnoses, depending on their experience, when image quality or diagnostic confidence is deemed equivocal or suboptimal," the authors wrote.



















