Art and radiology may seem like very different fields, but they can intersect in intriguing ways, particularly in medical imaging and the visualization of complex clinical data.
Harun Yildiz, MD, has a keen interest in pediatric radiology, including ultrasound. All images provided by Harun Yildiz, MD.
Harun Yildiz, MD, a radiologist at Dortcelik Children's Hospital, Bursa, Turkey, is convinced that beauty exists within medical images, and appreciating the aesthetic qualities can boost mental health and help avoid burnout. Ahead of his first lecture about radiological illustrations on November 20, 2025, at 8 p.m. Turkish time/6 p.m. CEST, we asked him to elaborate on his passion for art.
Q: Please can you explain how and when you first became interested in art?
A: I remember first realizing I could draw something when I was 10 years old, while doing an assignment my teacher set. I've been involved in various drawing processes from time to time since childhood. However, until the last five years, "the act of drawing" had never been an active part of my life. During this time, I’ve been deeply immersed in the world of radiological illustration.

Q: How would you describe your own approach to radiological illustration?
A: This is the first time I’ve been asked this question, and I appreciate the opportunity to answer it.
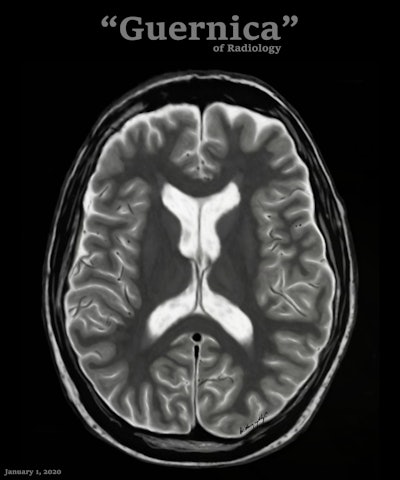
Conceptually, I think it is possible to define the term “radiological illustration” as an emerging discipline that transforms medical imaging data into an aesthetic and didactic narrative. I emphasize that with the motto “pixel by pixel handmade.” I am trying to open a “new path” for the use of visual communication in medical education by trying to combine scientific accuracy in radiological terms with artistic creativity. With this statement, I am trying to express that instead of modifying radiological images, I draw each pixel by hand using technological tools and create a new visual that is both artistically and scientifically original, while remaining faithful to radiological principles.

It’s important to note that radiological illustration should not be confused with medical illustration. The former has yet to be systematically defined in the literature. I believe it deserves recognition as a distinct sub-branch within the broader medical illustration domain.
Q: Where have you exhibited your work?
A: I’ve been digitally exhibiting my
In September 2025, I had the honor of exhibiting 35 selected illustrations at an international neuroradiology congress in Istanbul, jointly organized by the European Society of Neuroradiology, the American Society of Neuroradiology, and the Turkish Society of Neuroradiology. There were over 1,500 attendees. For the first time, my illustrations were displayed as true works of art under gallery lights and among a crowd. It was an unforgettable experience that left me with deep emotional memories.
Q: Please can you tell us about your clinical work?

Q: Does your artistic work help you to
A: Drawing has become a vital mental outlet for me. It genuinely soothes my soul. I’ve learned to avoid many situations that once triggered anger or frustration. I draw passionately from my art whenever I can. Time spent not drawing feels like time lost. It’s a unique state of mind, difficult to describe but deeply fulfilling.

A: There isn't one artist in particular that I admire or am particularly influenced by because I've never encountered anyone who does what I'm trying to do. I think I might be the first person in this field. So, instead of following a path, I build “my path” guided by my own emotions, logic, and skills.
Q: Is your work for sale? Looking ahead, can you tell us about your lecture?
A: My primary focus has always been

My presentation on the evening of November 20 will be in Turkish, but most of the images in my slides are from my social media posts. As the saying goes, "a picture is worth a thousand words," so I won't need to talk much! Those who wish can activate the live English translation settings during the presentation, so there will be no obstacle to understanding what I am saying.
To register, please click here.




















