Certain patient- and radiologist-level factors influence the risk of developing interval breast cancer, according to results published November 25 in Radiology.
High breast density, family history of breast cancer, and inadequate radiologist performance are independently tied to increased interval breast cancer risk, wrote a team led by Melissa Min-Szu Yao, MD, from the Koo Foundation Sun Yat-Sen Cancer Center in Taipei, Taiwan.
“These findings highlight the importance of performance auditing and targeted strategies to enhance early cancer detection in population screening,” the Yao team wrote.
Incidence rates of interval breast cancer vary by country and screening program. Recent data suggests that these range from nine to 20 per 10,000 women who undergo biennial screening.
The researchers noted the limited data on how interval cancer risk is associated with factors tied to radiologist performance and patient-level characteristics.
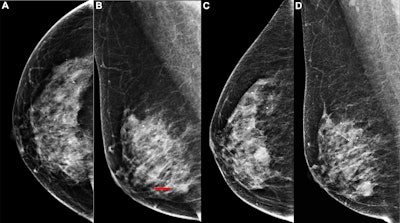
Images depict the right breast in a 63-year-old woman with interval breast cancer. (A, B) Screening mammograms in the (A) craniocaudal and (B) mediolateral oblique views show a right breast asymmetry (arrow) initially interpreted as normal tissue (BI-RADS category 2). (C, D) Diagnostic mammograms 17 months later in the (C) craniocaudal and (D) mediolateral oblique views reveal a high-density oval mass with indistinct margins. Ultrasound examination (not shown) demonstrated a 15.9 × 11.2 × 9.6 mm irregular hypoechoic mass, which was confirmed at biopsy to be invasive ductal carcinoma grade I.RSNA
Yao and colleagues added to the literature in their study of over 2.8 million women with an average age of 56.1 years. The women underwent a total of 6.6 million mammography exams in a population-based breast cancer screening program in Taiwan between 2004 and 2018. Of the total women, 10,944 were diagnosed with interval breast cancer.
The team found that interval cancer risk was higher in women with a family history of breast cancer and in women with extremely dense breasts. Also, women whose mammograms were interpreted by a radiologist with low audit scores had higher risk. Higher numeric audit scores represent performance metrics that deviate from optimal performance.
Factors tied to interval breast cancer rates | |
Measure | Relative risk per 1,000 person-years (with 1 as reference) |
Family history of breast cancer | 1.41 |
No family history of breast cancer | 0.77 |
Category D breast density | 1.15 |
Category C breast density | 0.88 |
Category B breast density | 0.54 |
Category A breast density | 0.29 |
Radiologist audit scores 0 to 4 | 0.78 |
Radiologist audit scores 5 or greater | 1.23 |
| *All data achieved statistical significance. | |
Women whose mammograms were interpreted by a radiologist with low recall rate and cancer detection rate had the highest proportion of interval cancers among all cancers found (53.8%, p < 0.001).
The researchers also found that asymmetry was the most common false-negative finding among missed interval cancers (22%).
The findings could help shift from population-based screening to risk-based approaches to reduce these interval cancer rates, they noted.
“Future research should incorporate prospective symptom assessment, evaluate supplemental imaging modalities, and include long-term mortality outcomes to strengthen the evidence base for risk-based breast cancer screening,” the authors wrote.
Read the full study here.



















