
Contrast-enhanced dual-energy digital mammography matches MRI in cancer detection, with fewer false positives, according to research presented at this month's RSNA meeting. The findings could position contrast mammography as an alternative to more expensive breast MRI scans.
A research team led by Maxine Jochelson, MD, of Memorial Sloan-Kettering Cancer Center in New York City, compared bilateral dual-energy contrast-enhanced digital mammography (CEDM) to MRI in the ability to detect breast cancer and to define the extent of tumor, while also comparing false-positive rates. Jochelson shared the study findings with RSNA attendees.
"One of the reasons MRI is useful in breast imaging is because it can map blood flow," she said. "We wanted to investigate whether flow maps obtained using digital mammographic technology with contrast would approach the usefulness of MRI."
CEDM is an investigational procedure that uses a contrast agent in conjunction with a full-field digital mammography unit. The unit has been upgraded with software that enables it to acquire images at two different angles in order to see contrast-enhanced images at different x-ray energy levels, Jochelson said.
The team used a Senographe DS unit (GE Healthcare, Chalfont St. Giles, U.K.) adapted with new x-ray beam filtration and dedicated recombination algorithms to perform low- and high-energy exposures using the contrast agent Omnipaque.
Thirty-three women were initially enrolled in the study; images that could be evaluated were acquired on 26, according to Jochelson. The median age of the study participants was 49 years. Of the 26 women, one had fatty breast tissue, 20 had heterogeneous tissue, and five had dense tissue.
Each woman had four views acquired in an average of eight minutes, Jochelson said. The imaging order varied between contralateral first and ipsilateral first, and craniocaudal first and mediolateral oblique first. There was no difference in the imaging order.
"There are risks with iodinated contrast administration, and there's always the radiation concern," Jochelson told session attendees. "But we actually found that the radiation for CEDM was about 20% greater than screening mammography, or the equivalent of one extra image."
The team found 24 infiltrating ductal carcinomas and two infiltrating lobular carcinomas. The median lesion size was 12 mm. The imaging modalities broke down as follows:
- CEDM found 25 of 26 cancers, for a 96% detection rate.
- MRI found 25 of 26 cancers, for a 96% detection rate.
- Digital mammography found 22 of 26 cancers, for an 85% detection rate.
"CEDM matched MRI to detect primary tumors, and both were superior to mammography," Jochelson said.
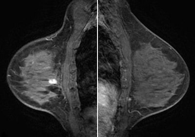
![]() |
| Cancer in the posterior right breast on digital mammography. All images courtesy of Maxine Jochelson, MD. |
![]() |
| Enhancement after contrast. |
![]() |
| Same view on MRI. |
When CEDM was compared to MRI for sensitivity of lesion detection, of all known sites of cancer in the breasts, CEDM found 30 of 33 (91%) and MRI found 32 of 33 (97%).
There were two false-negative index lesions, one for each technique. CEDM missed a heterogeneously dense, 21-mm infiltrating lobular carcinoma, and MRI missed a moderate parenchymal enhancing 7-mm infiltrating ductal carcinoma, Jochelson said. MRI also had three false positives compared to CEDM's zero.
As for specificity of the two technologies, of all enhancing lesions, CEDM identified 30 of 30 (100%) and MRI identified 30 of 37 (81%). (MRI found an additional seven lesions in the ipsilateral breast, while CEDM found an additional five.)
Although the value of bilateral dual-energy CEDM in women without known carcinoma remains unclear, using the technology in women with cancer is feasible, Jochelson's team concluded. Images are adequate up to 10 minutes after contrast injection, and they can be obtained in any order. And last but not least, the technology could offer cost-efficiency, a plus in the current economic climate.
"CEDM could be the poor man's MRI," Jochelson told AuntMinnie.com.
By Kate Madden Yee
AuntMinnie.com staff writer
December 14, 2010
Related Reading
New breast imaging applications show diagnostic promise, January 20, 2009
Contrast digital mammography helps visualize cancer in dense breasts, August 29, 2003
Copyright © 2010 AuntMinnie.com























