
Using new, modified dental imaging reconstruction parameters, cinematic rendering software enabled the visualization of supernumerary and ectopic teeth separated from surrounding bone on CT exams, according to a technical report published April 4 in Dentomaxillofacial Radiology.
It is believed to be the first time that the photorealistic rendering technique has been used to visualize teeth, as the cinematic rendering software has yet to provide customized reconstruction parameters for dental imaging, according to the researchers.
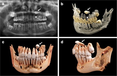
"When employing our new, modified reconstruction parameters, its application presents a fast approach to obtain realistic visualizations of both dental and osseous structures," wrote the authors, led by Dr. Ines Willershausen of the department of orthodontics and orofacial orthopedics at Friedrich-Alexander-Erlangen-Nurnberg University in Germany.

Recently, cinematic rendering, a technology that uses data derived from CT and conebeam CT images, has been used as an alternative approach for visualizing volumetric medical imaging data. Since its introduction, cinematic rendering has found applications in medical clinical research and anatomical education, but it has not been tailored to dentistry. Currently, there is only limited research on this technology in dentistry. Mainly, cinematic rendering has focused on fractures and carcinoma as maxillofacial indications, the authors of the report wrote.
In the report, researchers used cinematic rendering for the volumetric image visualization of midface CT datasets. Predefined reconstruction parameters were specifically modified to visualize complex orthodontic cases in children with ectopic, impacted, and supernumerary teeth. Using the masking and windowing functionality of Siemens Healthineers' Cinematic Anatomy application, upper and lower jaw and respective dentitions were easily segmented, creating natural-appearing images for realistic representations of anatomy, the authors wrote.

The researchers noted that the current reconstruction time of up to 24 hours is not reasonable for routine clinical applications. However, as the software undergoes updates, reconstruction time is expected to significantly decrease, they wrote.
"(Nevertheless,) the 3D spatial relationship of the teeth, as well as their structural relationship with the antagonizing dentition, could immediately be investigated and highlighted by separate, interactive 3D visualization after segmentation through windowing," Willershausen and colleagues wrote.