
COVID-19 can be detected and classified on chest x-rays by an artificial intelligence (AI) model with a high level of accuracy, outperforming other proposed algorithms, according to a March 27 study published in Radiography.
Iranian researchers used a deep-learning model (DenseNet169) previously trained on chest x-ray images combined with an available open-source algorithm (XGBoost) for classifying images and tested the approach for detecting COVID-19. Besides being highly accurate, the proposed approach was faster and involved less computational complexity, the authors wrote.
"The developed method could be employed as an initial detection tool to assist the radiologists in more accurate and faster [diagnosis]," wrote Hamid Nasiri, PhD, of Amirkabir University of Technology in Tehran, Iran.
One approach in AI research, rather than designing new deep-learning neural networks from scratch, is to use models with established architectures that have already been trained on large, openly available datasets. The use of these pretrained neural networks may improve the training speed and accuracy of algorithms for classifying images, since important image features do not have to be learned again, according to the authors.
Over the past several years, numerous deep-learning neural networks have been developed and trained on large datasets of x-ray images from COVID-19 patients. Advantages of these pretrained neural networks are that they require less data and computing power, and are comparatively simple to implement, according to the authors.
In the first phase of the study, Nasiri and colleagues applied a fivefold cross-validation method to obtain average accuracies for 17 pretrained neural networks. The accuracies of the networks were compared on their performances on two-class problems (their ability to detect either COVID-19 or no findings) or three-class problems (either COVID-19, pneumonia, or no findings).
The researchers found that a network called DenseNet169 had the best accuracy in both cases, with accuracies of 83.02% for three-class problems and 97.43% for two-class problems, the researchers wrote. Other deep-learning networks evaluated included VGG16, ResNet50, InceptionV3, and MobileNetV2, developed by various groups.
Next, the researchers used the features DenseNet169 extracted from COVID-19 x-rays (1,664 features) and provided them as input to a classification algorithm called Extreme Gradient Boosting (XGBoost), an open-source algorithm developed in 2016, to classify the images.
The dataset used contained 1,125 chest x-rays: 125 images labeled as COVID-19, 500 images labeled as pneumonia, and 500 images labeled as no findings.
The experiments revealed the proposed model's average accuracy for the two-class problem was 98.23%, and its test accuracy for the three-class problem was 89.7%. Also, a comparison of the results obtained in the study with those of other proposed methods showed the proposed method was superior, the authors wrote.
Performance of AI algorithms for detecting COVID-19 on chest x-ray | |||||||
VGG-19 | COVID-Net | ResNet50 + SVM | COVIDX-Net | Deep CNN ResNet-50 | DarkCovidNet | DenseNet169 + XGBoost | |
No. of images | 1428 | 13,645 | 50 | 50 | 100 | 625/1125 | 625/1125 |
Accuracy | 93.48% | 92.4% | 95.38% | 90% | 98% | 98.08%/89.33% | 98.23%/89.7% |
"Evaluation of the proposed approach and its comparison with the methods presented in recent years revealed that this method was more accurate and faster than the existing ones and had an acceptable performance for detecting COVID-19 cases from x-ray images," the authors stated.
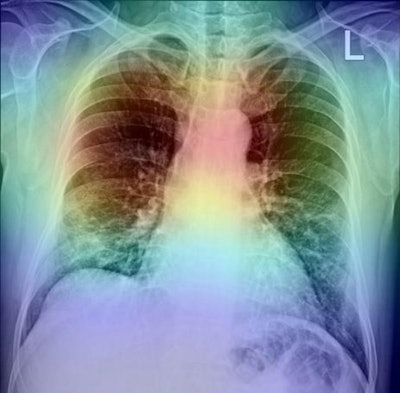
In addition, to further analyze the proposed method, the researchers used gradient-based class activation mapping (GradCAM) to represent the AI model's decision area on a heat map, which they suggested could help radiologists evaluate the chest area more accurately.

The aim of the study was to detect and identify COVID-19 in patient images. While reverse transcription polymerase chain reaction (RT-PCR) tests are the most common method of COVID-19 diagnosis, they can be time-consuming, and results may have a high level of false-negatives, the authors wrote.
Alternatively, AI approaches to diagnosing COVID-19 on chest radiographs could have vital and effective roles in the timely diagnosis and treatment of the disease, they suggested.
"The proposed method's simple implementation, along with its acceptable accuracy, allows it to be used in COVID-19 diagnosis," the authors concluded.