
What findings on radiological images point to domestic abuse and sexual assault? Researchers from Brigham and Women's Hospital presented their findings on November 27 in a refresher course at the RSNA 2017 meeting.
Intimate partner abuse is a widespread public health issue that affects one in four women in the U.S., lead author Dr. Elizabeth George said in a statement released by the RSNA. Radiologists must be aware of this problem encountered by so many patients.
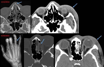
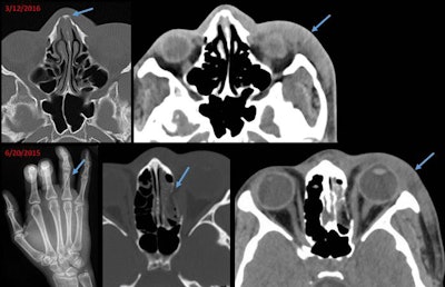
One unfortunate story -- of a young woman with an acute nasal bone fracture that was superimposed on a previously healed fracture -- spurred the researchers to investigate common characteristics of domestic violence as they appear on radiological images.
The researchers reviewed the electronic medical records of patients referred to the hospital by domestic abuse and sexual assault programs from January to October 2016.

The 87 victims of intimate domestic abuse were often female (95%) and African-American (40%), with a mean age of 34.7 years. Among the 665 radiology exams performed, the most frequent were chest x-ray, obstetric ultrasound, and musculoskeletal x-ray. Victims of sexual assault were also mostly female (91%) and African-American (46%), with a mean age of 27.3 years. Among the 109 exams performed in these 35 patients, the most common were chest x-ray, head CT, pelvic ultrasound, and musculoskeletal x-ray.
Bone remodeling, deformity, and focal bone thickening are telltale signs that can distinguish old, healed fractures from acute fractures, said Dr. Bharti Khurana, director of the emergency radiology fellowship program at Brigham and Women's Hospital. The presence of both old and acute fractures on radiological images could play a vital role in the diagnosis of intimate domestic violence.
"Our findings point toward the complex nature of these social situations and the need for a targeted intervention program not only to identify but also intervene in the various aspects of care of these patients," she continued.
In addition, the researchers identified various patterns of injury, including soft-tissue injuries, fracture in the distal upper extremities, and facial fractures.
"We are hopeful that the results of our study will increase awareness and pave the way for more research, as well as resources with multidisciplinary teams devoted to the care of this vulnerable population," George said.