
MRI shows that mild to moderate COVID-19 during pregnancy does not have any harmful effects on fetal brains, according to research being presented December 1 at the RSNA 2021 annual meeting in Chicago.
A team led by Dr. Sophia Stöcklein from the Ludwig Maximilian University of Munich in Germany found normal fetal brain development, including cortical folding and brain stem segmentation, in their study of fetuses whose expectant mothers had COVID-19.
"While evidence regarding vertical transmission of SARS-CoV-2 during pregnancy remains sparse, our study did not reveal signs of infection or impaired development of the fetal brain on fetal MRI," Stöcklein and colleagues wrote.
It's been two years since the COVID-19 pandemic began, and evidence has shown that pregnant women are more vulnerable to the SARS-CoV-2 virus that causes COVID-19. What that means for developing fetuses, though, is up for debate, including whether or not the virus can be passed on from mother to fetus.
Stöcklein et al wanted to use fetal MRI to find out whether fetal brain development is affected in cases of SARS-CoV-2 infection during pregnancy. They looked at data from 33 patients with SARS-CoV-2 infection during pregnancy.
The women were on average 28.4 weeks into their pregnancies, with COVID-19 symptoms beginning on average 18.3 weeks into the pregnancy. The most common symptoms experienced by the women were loss or a reduced sense of smell and taste, dry cough, fever, and shortness of breath.

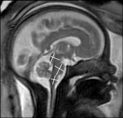
The team found that brain development characteristics, such as opercularization of the Sylvian fissure, cortical folding, and transverse cerebellar diameter were age-appropriate in all fetuses. They also found that the diameter and craniocaudal extent of the pons, medulla oblongata, midbrain, and cerebellar vermis were all within age-appropriate limits.
"No calcifications, edema, or ventricular enlargement were detected. Seven fetuses showed mild asymmetry of the lateral ventricles with a maximum difference of 4 mm," they wrote.
However, Stöcklein said patients presented with mild or moderate symptoms and did not need hospitalization. She also said vaccination should be considered for pregnant women.
The team will be following the patients for the next five years to assess their neurological developments.