Traumatic Aortic Laceration
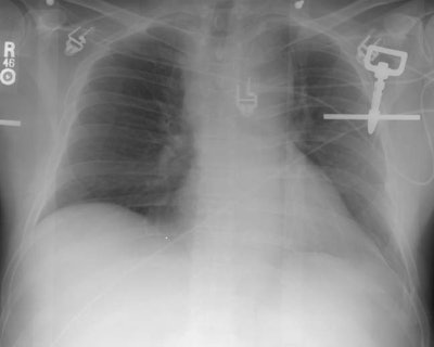
The frontal chest radiograph below was performed on a patient who presented to the emergency department following a 30 foot fall. The radiograph demonstrates widening of the mediastinum and an aortic contour abnormality with loss of the sharp outline of the aortic knob. Many of the other findings of aortic injury were not present and a CT of the chest was performed to evaluate for the presence of aortic injury (Click here to view the CT scan and arteriogram).








