Traumatic Aortic Laceration:
The case involved an obese teenage male that was found face down in a ditch adjacent to the highway. The patient had fallen an unspecified distance and their face was also partially submerged in water. The patient either fell from the highway or was struck by a vehicle and thrown from the highway by the impact. In addition to the aortic injury, the patient also had severe anoxic brain injury.
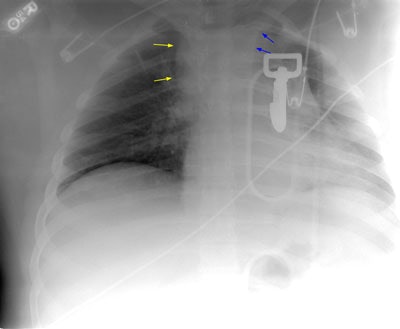
The plain film was a limited exam, but findings which suggested an aortic injury included: Loss of the contour of the aortic arch, A-P window opacification, a left pleural cap (blue arrows), and a soft tissue fullness in the right paratracheal region (yellow arrows). Click image to enlarge.

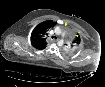
A CT scan of the chest demonstrated a large mediastinal hematoma (yellow arrows) and a left pleural fluid collection that was subsequently found to be a hemothorax. There was irregularity to the aortic arch near the isthmus (black arrow) which is highly suspicious for an aortic laceration, however, images at the level of the diaphragmatic hiatus demonstrated a more impressive finding (below).

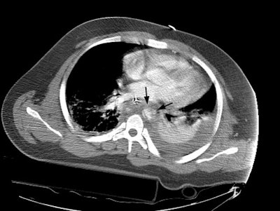
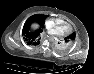
CT images more inferiorly revealed an intimal flap and marked irregularity to the contour of the aorta consistent with traumatic injury (black arrows). Slightly below this level there was a near complete lack of opacification of the vessel (lower image).


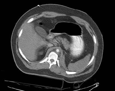
Images through the abdomen revealed a severely diminished aortic caliber and poor organ perfusion consistent with hypovolemic shock. The patient expired prior to angiography.







