Resource Center - Enterography Image list

2011 10 18 13 59 38 586 Enterography Fig4 Crop 200
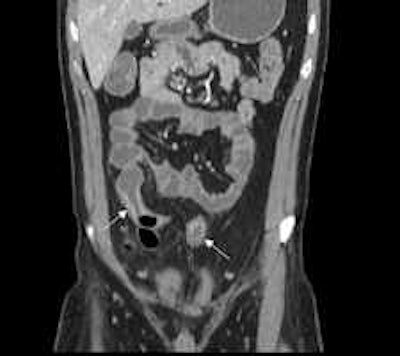
Patient with active ileocolonic Crohn\'s disease. Arrows highlight regions of hyperenhancement and thickening in small bowel depicted on coronal image acquired during CT enterography. Image courtesy of Dr. David Bruining.','dvPres', 'clsTopBtn', 'true' );" > Patient with active ileocolonic Crohn's disease
Click to enlarge.
Patient with active ileocolonic Crohn's disease.


MR enterography detection of active inflammation and fibrosis
Click to enlarge.
MR enterography detection of active
inflammation and fibrosis.



Page 1 of 3743
Next Page