
A relatively new CT technique, photon-counting CT, shows promise for reducing radiation dose by more than a third, researchers have found. They published their results June 24 in Academic Radiology.
The findings are good news for cancer patients, who often undergo many CT exams in the course of diagnosis and treatment, wrote a team led by Dr. Robin Wrazidlo of Eberhard-Karls University in Tübingen, Germany.
"In oncologic patients, who are repeatedly being referred to CT for treatment monitoring, dose accumulation during their medical history may become relevant," the group noted. "Hence, dose reduction in CT has gained increasing attention among radiologists and patients."
CT is the go-to modality for oncology imaging, and its advantages include widespread availability, short image acquisition times, relatively low cost, and high spatial resolution, the authors noted. But cancer patients have repeated CT exams, making it important to manage their radiation exposure.
That's where photon-counting CT could prove useful. The technique counts each individual x-ray photon as it passes through the patient, "converting incoming photons into electronic signals proportional to their deposited energy," the researchers wrote -- a quality that appears to translate into reduced radiation dose without affecting image quality. The U.S. Food and Drug Administration (FDA) cleared the first device in September 2021 (Naeotom Alpha, Siemens Healthineers).
"[The photon-counting CT] ... seems to be highly promising in terms of radiation dose reduction," the team explained.
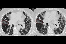
Wradzidlo and colleagues compared image quality and radiation dose between a dual-energy CT (DECT) device and a photon-counting CT scanner. Their study included 70 patients who underwent abdominal, contrast-enhanced CT between November 2021 and February 2022. The patients had both a DECT exam and a follow-up exam with a photon-counting device (median time between the two scans was four months). The researchers assessed radiation dose between the two types of studies using the following metrics: CT dose index, dose length product, and size-specific dose estimation. Two radiologists scored the images for quality, particularly lesion visibility.
The group found that photon-counting CT reduced the size-specific dose estimation by 32%, without degrading image quality.
| Radiation dose comparison between dual energy CT and photon-counting CT | |||
| Measure | DECT | Photon-counting CT | p-value |
| CT dose index | 14.11 mGy | 7.98 mGy | < 0.001 |
| Dose length product | 693.6 mGy*cm | 393.1 mGy*cm | < 0.001 |
| Size-specific dose estimation | 14.63 mGy | 9.98 mGy | < 0.001 |
Additionally, the two readers rated lesion conspicuity higher on the photon-counting CT exams compared with the DECT exams, especially in the third quartile, the team noted.
Photon-counting CT shows real promise for a particular set of patients more vulnerable than most to radiation exposure, according to the authors.
"[Photon-counting CT] enables oncologic abdominal CT with a significantly reduced dose while retaining image quality similar to ... DECT," they concluded.




















