Dear AuntMinnie Member,
Digital breast tomosynthesis (DBT) has undoubtedly improved on the performance of full-field digital mammography (FFDM) in breast cancer screening. But it may not add value specifically for surveillance imaging of asymptomatic patients with a history of breast cancer, according to our most highly read article of the week.
In a retrospective study involving over 20,000 breast imaging exams, researchers from the University of Texas MD Anderson Cancer Center in Houston did not find a statistically significant difference in breast cancer detection rate, recall rate, or positive predictive value for DBT and FFDM in this patient population.
You can get all of the details by clicking here.
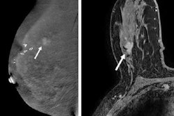
Another article drawing attention in our Women's Imaging Community featured new research comparing an abbreviated breast MRI protocol with standard breast MRI and contrast-enhanced mammography (CEM) in supplemental breast cancer screening. Although abbreviated MRI performed comparably to standard breast MRI, CEM showed some benefits as well as drawbacks.
Can ChatGPT improve diagnosis?
A new study this week found that ChatGPT could be a useful tool for helping diagnose disease in complex cases. After analyzing data such as radiology reports and pharmacological data in six clinical scenarios, ChatGPT outperformed clinicians and a diagnostic decision-support system in making both primary and differential diagnoses.
We also have coverage of a debate in which some doctors feel that the term "hallucinations" should be abandoned when referring to nonsensical text sometimes produced by large-language models. You can access the full story in our Artificial Intelligence Community.
Tau-PET
When it comes to predicting cognitive decline in patients with Alzheimer's disease, tau-PET scans appear to be the best choice, according to a recent study featured in our Molecular Imaging Community.
After evaluating the prognostic value of amyloid PET, tau PET, and FDG-PET, a group from Switzerland picked tau PET as the winner. Consequently, the research team believes tau-PET scans should be the neuroimaging study of choice in the routine workup of patients in memory clinics.



















