MRI of a Muscular VSD:
Submitted by Dr. Scott Flamm, M.D.

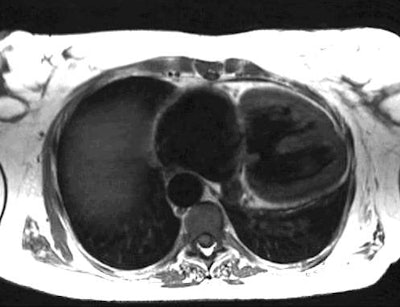
The lesion demonstrated is a muscular VSD in an adult patient. We know that this is a muscular VSD and not a membranous lesion because the image was obtained low in the septum. This is apparent because we are seeing the right atrium and almost no left atrium (remember- the left atrium sits higher than the right atrium). A membranous VSD would be higher by about 3-4 cm (in an adult).






