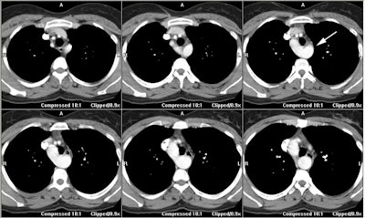
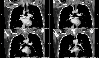
Right aortic arch with aberrant left subclavian artery:
In this patient with a right arch the left subclavian artery arises as the last branch from a large diverticulum (white arrow)


In this patient with a right arch the left subclavian artery arises as the last branch from a large diverticulum (white arrow)

