Idiopathic pulmonary fibrosis and bronchogenic carcinoma:
The patient below had severe interstitial lung disease. An ill-defined density was detected in the left lower lobe- a bronchogenic carcinoma was subsequently diagnosed. Patients with interstitial lung disease are at increased risk for developing bronchogenic carcinoma:CXR reveals interstitial lung disease and a soft tissue mass in the left lung:


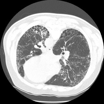
CT scan demonstrates honeycombing and other characteristic findings of UIP. The mass could be seen arising in an area of severe honeycombing:









