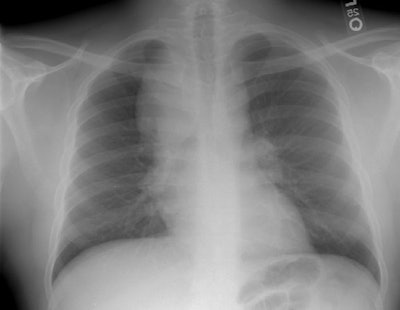
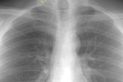
Hodgkins lymphoma developing in a patient with sarcoid:
The film below was from 1997. The right paratracheal mass has enlarged markedly in comparison to the patients old film. This finding was felt to be atypical for sarcoid and a CT was performed. The CT scan demonstrated a large anterior mediastinal/right paratracheal mass which severely compressed the superior vena cava, coupled with mediastinal and subcarinal adenopathy. (Click here to view CT scan). Mediastinoscopy was performed and the patient was discovered to have Hodgkins lymphoma.







