Langerhans Cell Histiocytosis:
34 year old female patient presented with increasing SOB and underwent CTPE examination. PE exam revealed scattered small nodules and findings that were felt to be related to very advanced emphysema vs cysts. HRCT exam was recommended.
|
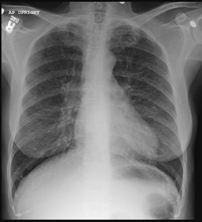
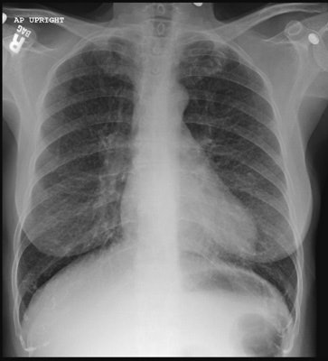
CXR demonstrated normal to large lung volumes with prominent reticular markings (click image to enlarge) |
|
|
|
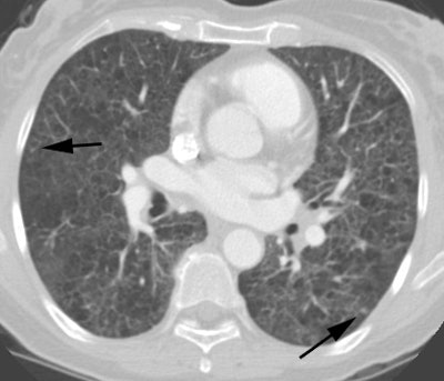
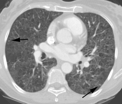
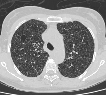
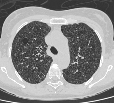
CT PE exam revealed no evidence of PE, but demonstrated findings suggestive of advanced emphysema versus cysts. A few small nodules were also identified within the lungs (arrow). |
|
|
|
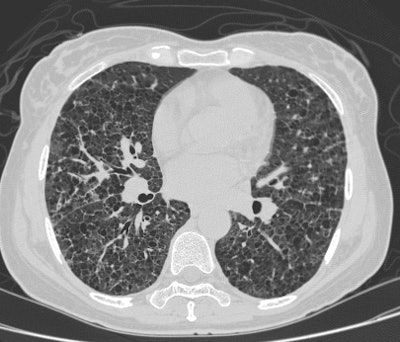
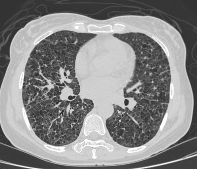
HRCT exam revealed diffuse cystic changes throughout the lungs. Open lung biopsy revealed LCH. |
|
|










