Sarcoidosis Stage II
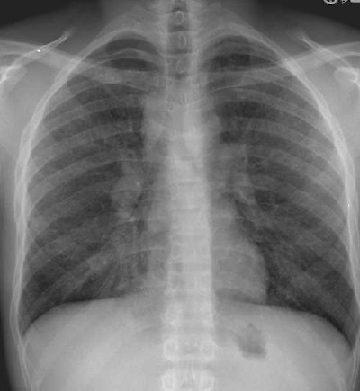
The CXR demonstrates the presence of right paratracheal and hilar adenopathy. Coupled with this finding is the presence of interstitial lung disease which appears as a coarse reticulo-nodular pattern.

The CXR demonstrates the presence of right paratracheal and hilar adenopathy. Coupled with this finding is the presence of interstitial lung disease which appears as a coarse reticulo-nodular pattern.
