Langerhans Cell Histiocytosis:
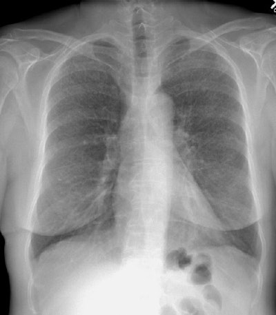
The patient was an male smoker who presented with complaints of increasing difficulty with physical fitness training and a cough. The chest radiograph demonstrated a diffuse symmetric upper and middle lung reticulonodularity which spared the lung bases and the lung volumes were normal (Click here to see a coned view). Lung biopsy confirmed the diagnosis of Langerhans cell histiocytosis.







