Acute interstitial pneumonia
|
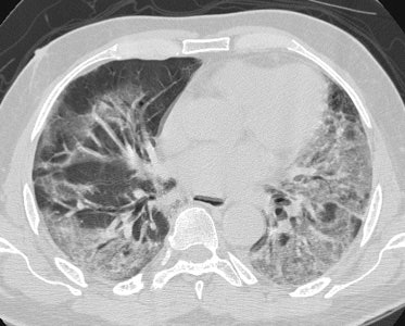
The patient below presented with rapid onset respiratory failure. Chest CT revealed extensive areas of ground-glass attenuation/consolidation particularly in the dependent lung zones. A lung biopsy revealed acute interstitial penumonitis. |
|
|









