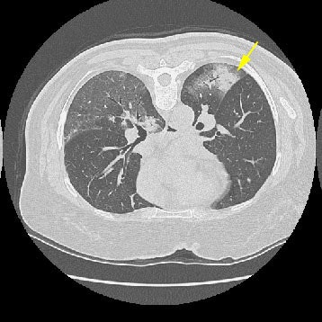
Ground Glass Attenuation: Suspected aspiration
The image below is from a HRCT scan performed in the prone position. There is diffuse ground glass attenuation within the right lower lobe which extends to the major fissure. Ground glass attenuation can also be seen in the left lower lobe. Additionally, there is an area of consolidation (yellow arrow) in the left lower lobe- consolidation obscures the underlying lung markings.








