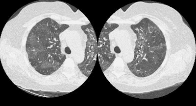
Mosaic attenuation:
A mosaic pattern is produced by the patchy distribution of areas of increased and decreased lung attenuation as shown in the case below.

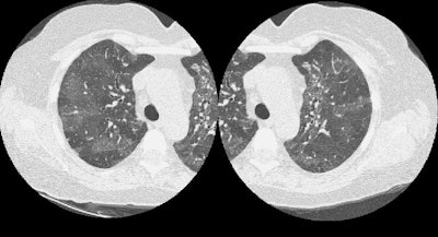
A mosaic pattern is produced by the patchy distribution of areas of increased and decreased lung attenuation as shown in the case below.
